001:胃肠细绳征
胃肠细绳征又名胃肠线征、绳征、绞索现象等。
【影像表现】在小肠钡剂检查中,小肠形成类似于粗糙棉线一样的细钡线。
【征象解析】胃肠道严重狭窄,导致内腔呈线样改变,胃肠细绳征经常作为内腔狭窄的一个术语,但它最初用于描述克罗恩病的可逆性狭窄。狭窄原因是由于严重溃疡引起易激和痉挛所致的不完全性梗阻,且可以发现狭窄与扩张交替口当狭窄主要由水肿和痉挛引起时,狭窄程度不是一致的;如果小肠壁因纤维化而增厚,肠腔的内径就一致变窄。黏膜被纤维坏死组织所替代,偶尔黏膜岛仍可被发现。
【讨论】胃肠细绳征己被证实为克罗恩病的特征性表现,最常出现在末段回肠。
早期克罗恩病的肠道异常包括粗绒毛征、皱襞增厚和阿弗他溃疡。这些征象不是特异性的,也能在其他疾病中发现,但它们的出现能提供克罗恩病的坚实的证据。沿着肠系膜缘的线样溃疡成为小肠克罗恩病最重要的诊断特征之一,溃疡平行于短缩的、凹入的或者僵直的肠系膜缘。相邻的肠系膜增厚和回缩,特别在与有受侵肠段的连接处。坚硬的肠系膜缘是因为从线性溃疡扩散进人肠系膜形成透壁炎症。随着溃疡的进展,痉挛和易激加重,皱襞变得更粗糙和增厚,胃肠细绳征可以出现。根据病变的发展阶段不同,肠道近端可有或无扩张,痉挛经常是变化无常的,反复地观察照片证实在病变肠段有时会出现扩张。然而,当痉挛持久不变时,可发生暂时的近端肠管扩张并伴有肠梗阻症状。在狭窄期,继发于溃疡的痉挛导致持续的近端扩张,尽管狭窄和完全性肠梗阻罕见。除克罗恩病外,其他疾病也可出现类似征象。在幽门狭窄的病例中,窄的伸长的幽门管内部表现为单一的钡线口如果肠腔变窄和部分梗限出现,类癌也可导致胃肠道线样征的放射学表现。
总之,胃肠细绳征的出现高度提示克罗恩病,但它也可在其他疾病中出现。

左图:克罗恩病X线小肠钡灌,病变肠腔不规则狭窄(箭头),段壁僵硬,呈节段性分布;右图:CT横断位示小肠肠壁节段性增厚,肠腔狭窄(细白箭)
002:双管征
【影像表现】在磁共振胰胆管成像(MRCP)时,胆总管和胰管同时扩张,称为双管征。此征象在MRCP、CT(特别是曲面重建)及超声检查中亦可见。
【征象解析】通常为胰头肿瘤对胆总管和主胰管阻塞和包埋所致,胆总管和胰管发生双管性狭窄,引起双管同时扩张。
【讨论】双管征首先在ERCP检查中报道,其后MRCP、CT(特别是曲面重建)及超声检查中亦可见,起初被认为是胰腺癌的特有征象。
双管征的2个最主要的原因是胰头癌和壶腹癌,其他的恶性病变包括胆总管远端的胆管痛、淋巴瘤或转移瘤;良性病变包括慢性胰腺炎和壶腹部狭窄。原发性腹膜后纤维化和Kapo-si肉瘤为罕见原因,仅有个别病例报道。
因为胰头癌早期症状比较隐匿,可切除性的早期病灶诊断较困难。其特征性的影像表现是胰腺和胆总管的狭窄和阻塞所导致的双管征。大多数胰腺恶性肿瘤为腺癌且为管内生长,通常表现为胰头的局部肿块。在胰头癌中,62%~77%的病例可以出现双管征,但是胰管不扩张并不能除外胰头癌诊断,因为20%的胰腺恶性肿瘤胰管管径是正常的。较小的壶腹癌即可引起明显的胆管扩张,52%的病例可以出现双管征。胰头癌与壶腹癌及胆总管远端癌有时存在鉴别诊断上的困难。壶腹癌其肿块在增强扫描时与胰头癌有不同强化表现。MRCP显示钩突层面胆总管与胰管间距离小(肿瘤推移胆总管远端)为壶腹癌的表现,而胰头癌则呈双管征及截断状改变,此外,壶腹癌很少累及胰后脂肪间隙及肠系膜上动脉间隙与钩突间的脂肪层,胰腺体尾萎缩少见,可与胰头癌鉴别。
MRCP对胰胆管阻塞的形态和定位较好,导管形态在定性中有用,突然中断的梗阻或狭窄,特别是导管边缘不规则,78%为恶性病变;渐进性中断或渐进性狭窄,特别是管壁边缘光滑多为良性病变。
总之,若出现双管征,可高度怀疑胰腺恶性肿瘤,但不是绝对诊断。

003:珠链征(又称串珠征):
【影像表现】珠链征可见于小肠梗阻患者的立位或侧卧位腹部X线平片,由一些斜行或水平走向的小气泡排列构成,形似一串珍珠,因此称为珠链征。
【征象解释】串状排列的气泡代表显著扩张积液的小肠闭撵内嵌在钻膜皱壁之间的气体影,X线摄影的半月效应使被液体围绕的气泡呈卵圆形或圆形。珠链征的形成取决于气休、积液的小肠撵和小肠蠕动亢进同时并存。
【讨论】肠梗阻是肠内容物的运行发生障碍的疾患,是一种常见的外科急腹症。按其发生原因可分为机械性、动力性和血运性肠梗阻三类。其中以机械性肠梗阻较为多见,常见病因有肠粘连、肠扭转、肠肿瘤、肠套叠和腹内汕等。肠梗阻又可按有无血运障碍分为单纯性和绞窄性两类;按梗阻的部位分为高位和低位两种;根据梗阻程度,还可分为完全性和不完全性肠梗阻。
由于原因、部位、程度、血运障碍、发病缓急等因素的不同,肠梗阻可有不同的临床症状,但肠内容物不能顺利通过肠腔使其有一致的临床表现。肠梗阻的共同临床表现是腹痛、呕吐、腹胀及停止排气排便口触诊腹部有压痛,绞窄性肠梗限时可有明显的腹膜刺激征。听诊肠鸣音高亢,有气过水声。
X线平片对梗阻的存在、性质、部位、程度及可能原因的诊断有一定帮助。不论什么性质的肠梗阻,基本X线表现为肠曲胀气、空气液面。急性机械性小肠梗阻典型的X线表现包括:1)小肠扩张积气;2)肠腔内积液形成多个液平面;3)胃及结肠内气休少或消失。绞窄性肠梗阻由于小肠扭转、粘连带压迫或内痛等造成肠有嵌闭,引起肠系膜及其内血管发生狭窄,因此其X线表现除了肠曲胀气和空气液面外,由于肠管的嵌闭还可表现为闭襻形成。肠管部分性嵌闭时,扩张的闭襻内因充气而透明,正中为折叠后往相靠近的两端肠内壁形成的条状致密带,形如咖啡豆,故称咖啡豆征。肠管完全性嵌闭时,由于渗透增加,大量液体进入,在周围充气肠管的衬托下形成软组织肿块,称假肿瘤征。若闭襻内充液多而气体最少时,嵌在粘膜皱襞之间的气体影在X线立位或侧卧位腹部X线平片上可以表现为一串圆形或卵圆形的透光区,称为珠链征。此外,绞窄性小肠梗阻还可出现长液面征、空回肠换位征(或空回肠排列紊乱)和腹水、腹腔游离气体等表现。
认识珠链征的重要性与小肠梗阻的临床表现有关。小肠梗阻的典塑临床表现有腹部柔软、膨隆和肠鸣音亢进。然而,在某些主要为液体充盈的小肠完全性梗阻患者,由于没有气体产生气过水声,因而小肠扩张可能不明显。肠鸣音可能正常或减弱。然而,立位或侧卧位腹部X线平片仍有可能显示珠链征。了解珠链征这一改要X线表现,有助于避免遗漏临床诊断困难的病例口虽然珠链征在麻痹性肠梗阻、急性胃肠炎和盐水导泻时很少出现。但是当仰卧位腹部X线平片不能确定时,水平位投照显示的珠链征可以提示小肠梗阻,结合典型的临床症状。仍可确定小肠梗阻的诊断。

图示小肠梗阻患者,左侧卧位。气泡(箭头)为环状皱壁间的气体滁留。
005:足球征又名橄榄球征、气顶征
【影像表现】在仰卧位腹部X线平片上,可见一个大的卵圆形的透光影像。形似足球(橄榄球)。
【征象解释】此征象多见于婴儿自发性或医源性胃肠道穿孔所致的气腹,名为橄榄球征似更为妥当。球的长轴从头侧向尾侧,由横幅及盆底构成球的两端,呈钝圆形。卵圆形的透光影代表了腹膜腔内的大量气体,这些气体使得腹膜腔扩大膨胀,在仰卧位时,这些游离的气体聚集在腹腔内脏的前方与前腹联的壁腹膜之间而产生一个形似橄榄球的外观。由于这些气体的出现,可能勾勒出镰状韧带的外观,表现为一个长的模糊线状影呈纵向位于右上腹,故有学者将其命名为镰状韧带征。同样,大量气体时也可衬托出脐韧带或脐外侧韧带的形态,表现为中腹部或中下腹部的模糊纵向线状影。有些学者认为这些前腹壁的结构是足球征的必要组成部分,并将其描述为橄榄球的缝线或带子。
【讨论】聚集在腹腔内的游离气体足够多时,才能在仰卧位腹平片上出现足球征,而能够出现足量多游离气体的气腹多见于婴儿或新生儿,成年人或青少年则较少见,这可能由于成年人出现胃肠道穿孔的症状时能够及时自觉就诊,得到早期治疗所致。在一部分成年人,出现气腹时可能不足以表现出足球征,但同样多的气体量如果发生在婴儿则可以表现出来。据文献报道,在X线发现有气腹的成年患者中,仅有2%出现足球征;而在婴儿出现足球征的情况文献中尚无确切统计。
导致气腹的原因多种多样。但在出现足球征的气腹患儿中,绝大多数是由于自发性的或医源性的消化道穿孔所致。其他原因包括坏死性小肠结肠炎、结肠梗阻(如肠旋转不良、胎粪性肠梗阻、消化道闭锁等)、胃、十二指肠溃疡所引起的炎症等。机械性通气增强可导致气压性损伤使得外界气体进入隔下,从而在没有胃肠道穿孔的情况下出现气腹。
总之,在仰卧位腹部X线平片上看到的大的卵圆形的透光区,形似橄榄球,代表腹膜腔内聚集的大最气体,称为足球征或橄榄球征。多数情况下,婴儿出现橄榄球征即可诊断为胃肠道穿孔,无需进一步的影像检查。少数情况下,当只有少量气体位于肠腔外时,则不出现足球征,可能仅仅看到肠壁两侧或局部的透光区,这时需要侧卧位或侧位投照来进一步诊断。

006:双壁征
【影像表现】在仰卧位腹部X线平片上,胃肠道腔内气体显示内壁的同时,气腹可将胃肠道外壁显示出来。
【征象解释】正常情况下气体仅显示肠壁内腔表面的轮廓而不显示浆膜表面,胃肠道外壁的密度类似邻近腹腔的内容物。然而,当腹腔内有适量的自由气体存在时,这些自由气体更可能集中在肠撵间,因此可以见到肠管的外壁,这就是双壁征的典型表现。当肠腔充满液体,内璧不可见,只有外侧壁是可见时,表现为不典型的双壁征。
【讨论】气腹的出现常常提示病变的严重性,是急诊外科观察中应引起注意的征象,因而认识其在常规的腹部X线平片表现非常重要。气腹常见的病因学有4种:医源性、自发性、外伤性和其他各种原因。医源性原因包括手术、腹膜透析、饲养管的放置、近期的内镜检查、使用妇科器械和强有力的呼吸复苏,自发性原因有消化道穿孔、缺血、肠道梗阻(良性或者恶性)、中毒性巨结肠和炎性病变(阑尾炎、结核、坏死性小肠结肠炎);外伤的原因包括钝性或者穿通伤,导致肠道穿孔;其他多种原因包括药品(类固醇和非类固醇类的抗炎药物)和肠道积气或肠缺血,也可以是女性生殖道相关行为(冲洗、性交和注气)引起。气腹临床表现不特异,有的根本没有症状,也有的有明显的腹膜刺激征。因此详细的病史对探明原因很重要。
研究表明,发现少量腹膜腔游离气体敏感的方法是立位胸部照片,能迅速评价幅下游离气体。在大多数医疗机构中,立位胸部照片是常规证实部分急腹症的方法。对不能站立的患者,一种替代方法是左侧卧位。结果表明优质的侧卧位片与站立位胸部照片一样,能发现1ml的腹膜腔内自由气体。CT能发现1ml的游离气体,并能帮助证实平片可疑的气腹。但是,婴幼儿或者ICU的患者经常只能行仰卧位腹部照片。这种情况下认识双壁征至关重要。气腹有许多可能的平片表现,最普通的征象是右隔下游离气体,因为肝脏高密度轮廓的勾画使其比较明显。双壁征是气腹在卧位照片第二个最普通的征象,有3%的发生率。不常见的游离气体征象包括三角征、肝缘征、X镰状韧带征、足球征、倒V征和脐尿管征等。
与双壁征类似表现并不少见,有必要区别真阳性双壁征与一个没有气腹征的假阳性双壁征。双壁征有时能被邻近的肠襻干扰,因而在肠襻的内部也可出现相邻肠襻壁的轮廓,导致误诊为游离气体;最近经过腹部CT研究的患者中,少数剩余的增强剂覆盖在肠腔内表面也可增加肠壁密度形成假双壁征;假阳性双壁征也可以由Mach带导致;在不明确的病例,也可以通过左侧卧位照片或立位腹部照片来证实。
总之,气腹常提示潜在的严重腹腔内疾病,危重患者经常只是行卧位照片,在卧位照片上通过认识双壁征发现游离气体能提供重要的治疗信息。

007:十二指肠风向袋征又名晕轮征
【影像表现】十二指肠肠风向袋征见于日服钡剂上消化道造影。该征象包含一个充满钡剂的囊袋及其周围一圈边界光整的窄的透光线,充钡的囊袋完全位于十二指肠内,钡剂越过该囊袋到达十二指肠远端。
【征象解释】十二指肠风向袋征被认为是十二指肠腔内憩室的典型表现。窄的透光圈代表腔内猫膜形成的隔或蹼,它是由于胚胎期第7周时前肠腔上皮细胞吸收后正常十二指肠再通时发生异构而不完全再通所形成的口随着时间的推移,在肠管持续不断的蠕动下,该隔膜被动地逐渐延长,形成腔内憩室,并形成风向袋状结构。由于在上消化道造影时形成憩室周围的薄透光带,因此也有人称其为晕轮征。
【讨论】十二指肠腔内憩室是少见的发育异常,通常见于十二指肠降部。绝大多数起源于靠近肝胰壶腹附近并且与肠蠕动方向一致。少数情况下起源于十二指肠水平部或向肠蠕动相反方向延伸。憩室与肠壁的附着处通常小于肠壁周径的1/2,只有少数报道憩室附着于肠壁全周,此时位于隔膜中央或周边的缝隙或小孔能允许肠内容物通过。与胃肠道其他部位的憩室不同,十二指肠腔内憩室的两面均为乱膜层,上皮细胞层上只有很薄的纤维肌层组织,血管结构很少。
十二指肠腔内憩室的临床表现没有特异性,主要包括上腹部疼痛、恶心、腹胀等。通常在30岁以后出现症状,青少年发病仅占约20%。青少年患者中需要与其他引起先天性梗阻的疾病进行鉴别。这些病变主要有腔内病变(如闭锁、狭窄,重复),以及腔外压迫(如环状胰腺、肠旋转不良伴有一十二指肠索带等)或两者并存。有报道十二指肠腔内憩室及其前身—先天性十二指肠隔并存其他先天性畸形的发病率为40%。这些并存的畸形主要包括环状胰腺、胆总管囊肿、肛门闭锁、先天性巨结肠症、先心病、脐膨出、肾脏发育不全、膀胱外翻、内脏转位、旋转不良、十二指肠旁索带、门静脉畸形、Down综合征等。有时在产前超声检查发现十二指肠积液,即可怀疑十二指肠梗阻。
文献报道20%~25%的成年患者发生并发症,这些井发症主要包括当憩室被食物、胆石或异物填塞而扩大时造成十二指肠梗阻;食物和胃液滞留造成消化性溃疡;憩室内溃疡形成导致出血;憩室靠近肝胰壶腹造成胆管炎或胰腺炎。
十二指肠腔内憩室的诊断主要依据上消化道造影。其主要表现类似一个风向袋吹向十二指肠。该影像表现是具有特异性的,没有其他的病变有此表现,不必进行鉴别。然而,当憩室被液体或其他物质充填时,或当造影时憩室内没有被钡剂充盈时,其表现可能类似于带蒂息肉、乳膜下肿瘤或胆总管囊肿。内镜检查也是有特异性的,表现为正常十二指肠乳膜上出现一个自袋口文献报道有个别病例是通过CT、超声内镜、静脉胆道造影、PTC或ERCP等检查发现的。
总之,掌握十二指肠风向袋征这一特征性的十二指肠腔内憩室的表现,对于正确诊断这一少见疾病是非常重要的。

008:苹果核征又名餐巾环征
【影像表现】苹果核征是指在钡剂灌肠检查时出现结直肠的局部狭窄,这个狭窄表现为两端呈肩状,中央的管腔狭窄,并有乳膜破坏,边缘不规整,形似被吃剩的苹果核。
【影像解释】癌肿沿肠壁环周浸润超过肠管周径的2/3时,可产生本征象口其两端为环堤形成的隆起边界,中央的管腔狭窄段为癌性渡疡所形成的癌性隧道。
【讨论】在美国,大肠癌在导致死亡的癌症中占第二位,每年发病人数1300000,死亡人数50000。在我国,结直肠癌的发病率也呈上升趋势,其发病率位次由第六位上升至第四位,目前仅次于胃癌、肺癌及肝癌。
有关结直肠癌的大体分型比较混乱。目前国际上较为通用的是Borrmann分型,此分型简单明确,易于掌握,并能在一定程度上反映癌肿的生物学行为。一般分为4型:覃伞型BorrmannI型)、局限溃疡型(BorrmannII型)、浸润溃疡型(BorrmannIII型)及浸润型BorrmannIV型)。
结直肠癌在双对比造影中可表现为斑块状、息肉状、半环状(或鞍状)、环状及毯状:53%的结直肠癌为环状或半环状,38%为息肉状,9%为斑块状或毯状。
苹果核征最常见于环状结直肠癌。环状结直肠癌最常位于乙状结肠,在降结肠、横结肠和升结肠也可见,在钡剂灌肠造影中环状结直肠癌表现为肠管的圆周状狭窄,与相对正常的肠段交界部界限清楚,形态僵硬,狭窄长度一般以3~6cm为多见,但也可很短或长至10cm左右,并有黏膜破坏,边缘呈大陆架状悬垂状,即苹果核征口有时病变段高度狭窄引起梗阻,使钡剂不能通过,有时可见少许钡剂进人高度狭窄段呈细线状。
张晓鹏等对60例进展期结肠癌做了影像-病理对照分析,结果显示出现管腔狭窄表现为苹果核征者几乎都是溃疡型癌,以13orrmannII型癌最具特征。从病理学表现上看,构成苹果核征狭窄段两端为环堤形成的隆起边界,中央管腔狭窄段为癌性波疡形成的癌性隧道。当癌肿直径超过4~5时,苹果核征出现率显著增高,表明随癌肿体积增大,沿肠管周径方向浸润也增加,当浸润超过管腔周径的2/3时,就可引起管腔狭窄甲表现为苹果核征。当癌肿沿肠管形成环周浸润时,两侧的环堤则相互融合消失.中央形成癌性溃疡隧道,癌肿的两端则存留环堤,形成病灶两端的隆起边界。虽同为溃疡型癌,因癌肿发生部位不同,其影像学表现也各有差异口当癌肿位于横、降和乙状结肠时,由于肠管相对较细。癌肿更易于沿肠管周径浸润而引起管腔狭窄:而当癌肿发生在肠管膨大部如直肠和盲肠时,癌肿在肠管周径上所占比例相对较小,出现管腔狭窄的比例则相对较低。
环状结直肠癌(特别是乙状结肠癌)主要与憩室炎鉴别,在大多数憩室炎患者。狭窄段较光滑,边缘逐渐变细,薪膜皱裳存在:环状结直肠癌狭窄段更突然,边缘不光滑。呈大陆架状,黏膜皱襞消失。偶尔,憩室炎的狭窄区不光滑。表现与环状结直肠癌相似,大肠癌穿孔时可出现结直肠周围炎症,临床和影像学表现与憩室炎相似,难以鉴别。虽然双对比造影对结肠癌的诊断很有价值,但也不是绝对可靠的。如果影像学表现不典型,应该行内镜检查。

010:咖啡豆征又名莱豆征、弯管征
【影像表现】仰卧位腹部平片上表现为肠管透亮区形成类似咖啡豆样的形态。
【征象解释】咖啡豆征是乙状结肠扭转的经典X线表现,是因为乙状结肠闭撵积气扩张,肠管的内侧壁并列形成咖啡豆征的裂隙,而扩张肠管的侧壁形成咖啡豆征的外侧壁。
【讨论】咖啡豆征可以用来描述小肠闭撵型梗阻,但更多用于描述乙状结肠的闭禅型梗阻。接近80%的乙状结肠梗阻的患者可单独通过卧位腹部平片诊断口因为肠扭转位于乙状结肠,所以咖啡豆征起源于盆腔,可以占据整个腹部。它的上缘常达T10水平,并固定位于中线的左侧或右侧。若直肠内肠内缺乏气体,则更有助于诊断。
假如仰卧位腹部平片不能明确诊断时,应该行单纯的钡剂灌肠检查。在扭转的部位会出现钡柱突然中断,而呈鸟嘴样或鸟嘴征。钡剂强制性通过扭转部位可能会导致穿孔或使不完全梗阻转变成完全梗阻。当思者出现肠缺血或肠穿孔时,不能行钡剂灌肠检查,而应立即行手术治疗。
临床上表现为腹痛、逐渐加重或急发的腹胀、便秘、呕叶。有时尽管肠管扩张得比较夸张,但患者没有明显症状的情况也不少见。接近一半的患者先前有发作病史。
另外一些因素可以在X线片上形成类似乙状结肠扭转的征象。结肠扩张并形成肿块样影而没有梗阻点时表现为假性梗阻,常继发于长期使用腹痛药或缓泻药后甲但它是一种良性表现口区分假性梗阻和乙状结肠扭转是非常重要的,因为肠扭转需要立即行肠道减压,当结肠出现闭撵性梗阻时会异致缺血、梗死或穿孔。直肠内有气体(未行直肠镜检查时),通常会提示假性梗阻而不是乙状结肠扭转。可以用2种投照体位来论证:右侧卧位或俯卧侧位,明确区分假性梗阻和乙状结肠扭转需要钡剂灌肠检查。
扩张冗余的横结肠会有类似乙状结肠扭转的征象,但它的特征是腹部结肠向头部延伸形成U形,而并非起源于盆腔。盲肠扭转很少误诊为乙状结肠扭转,尽管两者都有结肠形成的朝向.上腹部的扩张肠撵,但盲肠扭转仅只有1个气-液平面,而乙状结肠扭转可以有2个气-液平面。
乙状结肠扭转是一种需要早期诊断及治疗的急症,90%的患者直肠管(肛管〕放置后有效。如未行外科手术复位治疗,约接近半数的患者可复发,经手术复位或固定后。仍有20%的患者可以复发。联合行急诊非外科肠道减压和选择性竹段性结肠切除是治疗本病的最佳方法,其死亡率只有5%~10%。但假如有肠坏疽时,手术切除后仍会50%~70%的死亡率。

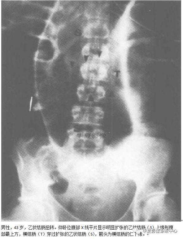
011:朝北征
【影像表现】仰卧位腹部X线平片明显扩张的乙状结肠上升至腹部最上缘,位于横结肠的上方。
【讨论】肠扭转是一段肠禅沿其系膜长轴旋转而造成的闭襻性肠梗阻,肠系膜过长,系膜根部附着处过窄、过松或粘连、挛缩等为肠扭转发病的解剖因素。肠内容物重量骤增、肠蠕动亢进以及突然改变体位等,常为诱发因素。常见的肠扭转为回肠、全部小肠、乙状结肠及盲肠扭转。肠扭转临床表现为急性机械性梗阻。
乙状结肠扭转井不少见,在所有引起结肠梗阻的病因中位列第三,仅次于肿瘤和憩室。对于乙状结肠扭转,乙状结肠和附属的肠系膜必须围绕着至少一个固定点旋转,这种旋转引起闭棒性肠梗阻,它通常会引起不同程度的动静脉供血不足。旱期诊断可以迅速减压,阻止肠管的缺血和穿孔。
乙状结肠扭转形成闭襻梗阻,引起有关的结肠段扩张。在闭塞的肠段结肠袋消失,乙状结肠充气向上伸向盆腔以外,乙状结肠上升至前腹部,变得位于腹侧,嘴部朝向横结肠。在其他的一些麻痹性肠梗阻或是左半结肠的单纯性肠梗阻,结肠扩张更为弥散,然而在这些情况下,乙状结肠内的压力还不足以把它推至固定较少的横结肠的前方。因此,这就是朝北征的潜在的解剖和生理学基础。据报道有数据显示,朝北征对区分乙状结肠扭转和其他原因引起的结肠扩张是特别有价值的

012:壁内轨道征又名壁内通道征。
【影像表现】食管钡剂造影发现囊袋状憩室自腔内向外突出,憩室一般表现为食管壁内泪滴状或细颈瓶状钡剂积聚,直径0.5~2cm。
【征象解释】食管壁内假性憩室只是指食管黏膜下层腺体呈囊性扩张,并通过排泄管与食管腔内相通。食管黏膜下腺体在人类进化过程中处于逐渐退化的阶段,从理沦上推测。这种退化组织极其脆弱,某些内外因素可能使其呈囊状变性或继发感染,因此不需要特殊治疗,壁内轨道征是X线诊断食怜壁内憩室的特征性表现,提示炎症的扩散。
【讨论】食管壁内假性憩室(EIP)又称食管壁内憩室,因其未突出于食管壁外,故又有部分性食管憩室之称。食管壁内假性憩室只是指食管翻膜下层腺体呈囊性扩张,并通过排泄管与食管腔内相通。因发生腐蚀、破坏、糜烂、溃疡等病变在壁内形成的空腔。不管有无管道通向食管腔内,都不是壁内憩室。而只作为食管其他疾病的并发症。
按病因可分为3类:1)各种炎症:如反流性食管炎、念珠菌食管炎、疱疹性食管炎、滴虫食管炎等;2)功能紊乱:如食管裂孔痛、贵门失弛缓症、食管蹼所致的功能紊乱等;3)各种搅伤。如化学性损伤(包括酸、碱烧伤〕、放射性损伤、乙醇损伤等。多数学者认为食管壁内假性憩室继发于上述各种因素,多伴有食管受阻或功能紊乱,进而侵及食管黏膜下层腺体。腺体受累后扩张,再加上炎性物质阻塞排泄口而形成壁内囊腔憩室,憩室内炎症如进一步扩散,可与邻近憩室相接形成通道。
Cho等对一组EIP患者进行研究发现,50%的患者有壁内轨道征,并认为壁内轨道征多见于弥漫性者甲是食管壁内假性憩室的特征性表现,国内有学者认为所谓轨道应该是各个壁内憩室炎症继续扩展并向周围蔓延,并浸及相邻上下的憩室,致其融合形成所谓的轨道,因此各憩室间轨道不会过长,若出现长的索形轨道应该视为其并发症。壁内轨道征是X线诊断食管壁内憩室的特征性表现,提示炎症的扩散。食管壁内憩室颈管向足端斜向走行,为诊断壁内憩室的另一重要征象。这种斜行颈管光滑纤细,相邻食管壁光滑。皱璧规则,壁内憩室间无通道形成。
EIP需要与食管表浅渝疡、食管穿孔等鉴别。食管表浅溃疡常发生在食管炎较重的节段,局部管腔常明显狭窄,单发,演疡口部较底部为宽,而壁内憩室发生处多不狭窄,憩室开口部一般均较其底部窄,多以多发形式存在;而食管穿孔常见钡剂流向食管壁外,少量钡剂外流,也可与食管壁平行垂肖下流,但与内壁相隔2mm,并有明确穿孔的原发病灶或创伤,多为单发。

013:拔塞钻征又名螺纹征、螺旋征
【影像表现】在中肠扭转患者,上消化道造影检查的正位和侧位图像上,十二指肠升部及与其相邻的空肠呈螺旋状走行,形似拔塞钻。
【征象解释】小肠系膜为附着于腹后壁较大的腹膜反折,空肠和同肠均由小肠系膜连于腹后壁。小肠系膜依次沿十二指肠空肠曲、腹部左上象限脊柱左侧、腹部右下象限回盲部呈斜行走行。在前后位腹部X线图像上正常十二指肠水平部和升部越过脊柱至左侧,然后向上达十二指肠壶腹水平面。在侧位腹部X线图像上十二指肠壶腹向后走行,降部向下走行,水平部向前走行,升部向上走行。肠旋转不良合并肠扭转时,十二指肠水平部、升部以及邻近空肠没有跨越中线而是向下走行,从而此段肠撵呈螺旋形,形成拔塞钻样表现,其近端十二指肠常常扩张。近来观点认为,十二指肠空肠曲未延伸至脊柱后方时也能形成拔塞钻样表现。除了十二指肠上部和降部外,中肠扭转可以累及整个小肠。
【讨沦】肠旋转不良时,肠系膜根部变细。十二指肠空肠曲(Treitz}韧带处)几乎总是发生异位,最典型的部位是卜二指肠空肠曲下降而异位至中线右前方。肠旋转不良的最严重并发症是肠扭转。山于小肠系膜仅在肠系膜上动脉根部有很狭窄的附着,当固定不良的十二指肠与上部空肠环绕肠系膜根部发生顺时针方向扭曲时,形成中肠扭转。肠扭转多发生于新生儿,也可发生于婴幼儿和儿童。肠旋转不良的典型临床表现是胆汁性呕吐,因此出现胆汁性呕吐的婴幼儿均应考虑到肠旋转不良的可能,且应立即进行影像学检查。新生儿肠旋转不良合并中肠扭转时,患儿旱期多表现为胆汁性呕吐、少便或无便,晚期甚至有血便。检查时多表现为脱水、营养不良、脐剑之间有固定性压痛、腹部不胀,初期往往无腹膜炎表现,所以部分患儿就诊在新生儿内科,而当出现腹膜炎体征时大多已经发生肠坏死,所以早期诊断尤为重要。
肠旋转异常H.选的检查方法通常是腹部X线平片,如果能够显示完全性肠梗阻X则没有必要进行胃肠道造影检查;如果腹部X线平片显示正常或无特异性,则有必要选择胃肠道造影检查。最常用的是口服或通过鼻胃管注入钡剂或稀释的水溶性对比剂进行上消化道造影检查。检查前要求空腹。否则充满液体的胃内容物可能会干扰十二指肠位置的观察,必要情况下可通过插入鼻胃管清除胃内容物。正位和侧位X线检查是显示十二指肠空肠连接区位置的关键,在前后方向投影显示最清楚,患者采用仰卧左前斜位可以使对比剂充盈胃腔,然后患者旋转至俯卧右前斜位从而使对比剂流入十二指肠,侧位X线检查可以准确观察十二指肠的走行方向。
肠旋转不良时,前后位X线检查可以显示十二指肠空肠曲下降而位于脊柱右侧或中线区,侧位X线检查则位于脊柱前方。如果合并中肠扭转,则可能会显示拔塞钻征;如果同时存在腹膜索带则十二指肠近段将扩张。随着十二指肠近段梗阻程度进一步加重,拔塞钻征将会消失。上消化道造影检杳的特征性改变表现在十二指肠与上部空肠走行方向和梗阻特点上,此特征性改变是手术前诊断和鉴别诊断的主要依据。
蔡金华等认为。屈氏韧带位置异常、螺纹征(拔塞钻征)及盲肠异位是肠旋转不良的特异性征象,表现为空肠上段呈螺旋状下行于中、右腹部,这一征象是肠旋转不良合并中肠扭转的特异性表现,需要指出的是,螺纹征的出现有时需要长时间的观察,因为在某些梗阻程度较重的病例中,钡剂通过并不顺畅,往往需要连续观察数小时,必要时取右侧卧位,直至空肠上段显示。
总之,拔塞钻征可以提示中肠扭转,而中肠扭转作为一种外科急症,早期诊断非常重要。一旦误诊,则可能会延误手术时机,甚至异致肠坏死等并发症。

014:中央箭头征
【影像表现】化脓性胆管炎CT征象甲肝内胆管一、二级分支扩张,而周围性胆管一般不扩张,扩张的肝内胆管呈聚集状,末梢呈箭头状。
【征象解释】化脓性胆管炎。不对称性或局限性扩张胆管常表现在肝内胆管一、气级分支,胆管内积气和(或)积脓,而周围胆钟丧失扩一张能力,表现为中央箭头征。
【讨论】化脓性胆管炎又称复发性化脓性胆管炎、东方性胆管炎或东方性胆管性肝炎。多发生在东南亚国家。在我国也较常.见口化脓性胆管炎常因胆管梗阻和胆道感染而引起,梗阻最常见为胆管结石,月以节炎性狭窄也是引起该病的重要因素口感染的细菌种类主要为革兰阴性杆菌,最常见的是大肠杆菌,其他有变形杆菌、铜绿假单胞菌口临床上多数患者有反复发作病史,急性发作者表现为上腹疼痛、寒战、高热、黄疽,甚至出现昏迷及死亡。
化脓性胆管炎有其生理和病理特点,故有其较特征性CT表现;
1)肝胆管扩张,肝内胆管扩张常呈不对称性或局限性分布,以左叶为明显,扩张的肝内胆管呈聚集状,同时胆管扩张常表现在肝内胆管一、二级分支,而周围胆管炎性纤维丧失扩张能力,表现为中央箭头征。肝外胆管扩张亦很常见,且程度不一。增强扫描肝内胆管壁的强化密度高于肝实质常提示急性发作期,胆管壁可显示弥漫性偏心性增厚。
2)肝脓肿,由于胆管的感染,其周围有炎性细胞浸润,在肝窦内有大量中性多核细胞。形成小脓肿,单发或多发,故单发或多发肝脓肿也是常见表现之,增强后脓肿壁及其分隔均有强化。
3)局限性肝段萎缩,由于反复炎性阻塞破坏结果,肝实质体积缩小及局限性肝段萎缩甲以左肝多见,少数患者还可见脂肪浸润引起的局限性肝实质密度减低,如在增强后扫描见局限性节段性均匀或不均匀肝实质明显强化,提示急性化脓性炎症的发展。
4)胆管内积气,弥漫性或局限性,好发于肝左叶,与3个因素有关,即与胆肠吻合术史有关,因奥括约肌功能不全,产气杆菌感染有关。5)胆管结石,特点为多发性,肝左叶为好发部位特别是左叶外段,结石为泥沙状或大块卵石状,可见多数化脓性胆管炎患者都有肝内胆管结石,同时伴或不伴有肝外胆管结石,说明化脓性胆管炎与胆管结石互为因果,密切相关。
化脓性胆管炎具有相对特征性CT表现,CT检查可以了解化脓性胆管炎梗阻部位、病因、病变范围、胆管扩张的程度、胆管积气和(或)积脓,以及肝脏受累的情况,能够反映化脓性胆管炎各种病理指征。是一种有效且理想的诊断方法。

女性,46岁。07年12月行胆囊Ca切除术后,以上腹部不适伴发热。
015:中心点征
【影像表现】Caroli病的CT征象之一,表现为在囊状扩张的胆管区内有小圆点状影,其密度平扫低于或等于周围的肝实质。增强后高于周围的肝实质,称为中心点征。
【征象解释】中心点征形成的病理捷础是门睁脉分支被先天异常发育的扩张肝内胆管所包绕,并内卷到扩张的肝内胆管之中所形成的轴位投影。
【讨论】Caroli病为肝内小胆管的先天性囊状扩张。又称交通性海绵状胆管扩张症。1958年,Caroli对其特征性表现加以详细描述,因此命名为Caroli病。本病属常染色体隐性遗传性疾病,可发生于任何年龄,主要.见于儿或和青年,以男性为多。本病临床上无并发症发生时一般无任何异常表现,常不被发现或因其他原因被偶然发现,临床汾诊常误诊为胆囊炎、胆石症。因此凭其临床表现及体征常不能确诊,除依据影像学诊断外,最终仍需病理确诊。
本病的发生与门静脉血管分支周围的肝内胆怜胚芽结构发育不良有关,胆管由实心向空心演变时组织增殖快慢不均,部分节段发育慢,表现为狭窄,其远端因阻塞而扩一张,阻塞越重则扩张越大。从而形成大小不一囊样病变。
Caroli病分两型:I刑为单纯性肝内胆管扩张常伴有肝内胆管结石和胆管炎,无合并肝硬化及门脉高压;II型为肝内胆管扩张并伴有肝硬化和门脉高压,常合并胆管炎。较少合并肝内胆竹结石;I刑较II型更少见。I、II型都可合并不同程度的肾小管扩张。重者形成海绵肾或肾囊肿,且扩张的肾小管内易形成小结石。Caroli病的CT表现:1)肝内胆管节段性扩张。呈多发囊状或柱状影。大小不一,分布以外周和右叶为主,近肝门区胆管和肝外胆管不扩张;2)囊状影与轻度扩张的柱状小胆管影(囊状影之间)相连通,CT只能部分显示此征象;3)中心点征为本病较特征性表现,系扩张的胆管包绕门静脉血针分支所致,平扫于囊状影内见与肝实质密度相近的点状软组织密度影。增强扫描时有明显强化,密度高于肝实质;4)肝内多发低密度囊状病灶,囊间相连的胆管扩张,囊腔内索条影,即囊内索条征。
鉴别诊断
1)肝内多发囊肿:其囊性病灶与肝内胆管影均无相通,尤中心点征,肝内胆管均无扩张;
2)胆管梗阻性病变,影像学显示为扩张的胆管于近肝门部明显。逐渐向外围变细,并呈连续性,无肝内小胆管节段性扩张;
3)肝内胆管囊腺瘤和囊腺癌罕见,囊性病灶与肝内胆管影无相通,囊腺瘤壁薄,无壁结节,无中心点征,囊腺瘤可恶变为囊腺癌,囊腺癌壁厚薄不均。可有壁结节,进展快;
4)原发性硬化胆管炎,肝内外胆管竹段性不规则狭窄和扩张。部分胆管树呈串珠状,胆管扩张程度较轻,无囊状扩张。


016:肝脏血管周围晕环征
一、影像表现:主要是在肝内门静脉分支周围的CT低密度、MRT2WI表现为门静脉周围高信号、增强T1WI为低信号带影像表现。与血管长轴平行则呈条带状(车轨线)、垂直横断面则为环状(月晕征或衣领征)低密度/异常信号区。
二、病理基础:各种病因造成肝脏内淋巴液产生过多和/或淋巴回流受阻都会出现淋巴液循环的异常。肝脏发生疾病或其他器官疾病累及肝脏时,肝实质受到破坏,正常小叶不复存在,原有血液循环系统遭到破坏,肝动脉和/或门静脉血液分支未经肝血窦和中央静脉而直接进入肝静脉,造成肝静脉压升高,导致产生大量的淋巴液。同样,当肝内或肝门病变造成淋巴管的压迫、阻塞,会出现远端淋巴液储留和淋巴管的扩张;此外肝门区肿块或肝门区淋巴结肿大直接压迫肝静脉和下腔静脉,造成静脉压升高,也是形成血液淋巴循环障碍的原因之一。肝脏血管周围晕环征主要与以下两大因素有关:
①各种原因所致血管周围的淋巴组织水肿淋巴回流受阻或淋巴液产生过多导致肝内淋巴淤滞;
②外伤后所致格里森氏鞘(Glissonsheath)周围疏松的结缔组织中存留的血液。各种病因造成肝脏内淋巴液产生过多和/或淋巴回流受阻都会出现淋巴液循环的异常。三、常见疾病AIDS病肝血管病变、肝小静脉闭塞症、酗酒导致的肝损害等。

017:软藤征
【影像表现】软藤征指肝内胆管扩张。其走行柔和,在CT,MRI,MRCP以及ERCP图像上表现形似藤蔓,故称软藤征。在恶性胆道梗阻中出现率最高。
【征象解释】正常CT,MRI,MRCP以及ERCP图像上,在以肝门为中心的内2/3区域可清晰显示肝内胆管,外1/3区域的胆管一般不显示或显示模糊。当有肿瘤在短期内引起胆管完全梗阻时,由于胆汁淤积,梗阻以上胆管会均匀性重度扩张,可达肝被膜下,因其管壁尚较柔和,故呈软藤状。软藤状胆管扩张提示较急性的梗阻,病因一般以生长较快的肿瘤为多见,如胰腺癌(生长速度较快)、胆管癌等,但其他的病变亦可造成类似的改变。
【讨论】胆道梗阻的现代影像学检查主要应用超声、CT或MRI,但PTC和ERCP仍然为可靠的检查手段。无论采用何种检查方法,诊断都要明确以下间题:1)有无胆道梗阻(即胆道梗阻诊断的确定);2)胆道梗阻的部位;3)胆道梗阻的病因(即定性、定位、定因)。
有无梗阻的诊断:1)PTC和ERCP均可明确显示胆管扩张,前者从病灶头侧显示病变,而后者从病灶足侧观察病变。成功的PTC和ERCP均可显示肝内外胆管扩大,表现从肝门至肝外围由大到小的扩张胆管呈枯枝状或软藤状,胆总管管径)1.1cm,扩大的胆管下端狭窄或阻塞。2)CT显示胆管扩张的准确率达98%~100%;正常肝内胆管一般不能显示,如能显示,其直径仅为1~3mm;当肝内胆管自径达5mm,则认为胆管轻度扩张;达6mm为中度扩张;达8mm以上为重度扩张;表现肝门及肝实质内呈树枝状分布的条状低密度区,形如枯枝状、残根状、软藤状;垂直走向的胆管CT横断面上多呈圆形、类圆形低密度区,增强后无强化;肝总管和胆总管扩张,直径1cm以上,于肝门至胰头之间的CT层面见到圆形或类圆形低密度区,形成自上而下连续不断的环影,环影消失的层面为扩张的胆管末环,提示胆道梗阻的部位口3)II可.见肝内,外胆管管径增大。T1WI呈低信号,T2WI呈高信号;MRCP可见从肝门至肝外围由大到小的高信号扩张胆管,并能从多方位观察扩张胆管下端显示梗阻的部位。
胆道梗阻部位的诊断:临床上将胆管梗阻的部位分为4段:1)肝门段,即肝左、右管和肝总管段;2)胰上段,进人胰腺之前的胆总管段;3)胰腺段,穿过胰腺组织的胆总管段;4)壶腹段,胰腺段以下的胆管段。PTC,ERCP或MRCP检查,比较容易显示狭窄或阻塞的胆管。明确地指出梗阻的部位。
超声和CT则往往要观察分析肝内胆管、胆总管扩张的水平和胆囊、胰管是否扩张以及狭窄、阻塞端的周围解剖来判断胆管梗阻的部位口如出现一侧或两侧肝内胆管扩一张而胆总管正常巨胆囊不扩张,则提示肝门段梗阻;胆总管扩张、胆囊扩张,扩张的胆管末环无胰腺组织包绕,则为胰上段梗限;如果扩张的胆管末环有胰腺组织包绕则说明梗阻位于胰腺段;同时见到胰管扩张,出现所谓的双管征,则梗阻在壶腹段。螺旋CT的MPR重建胆道系统或MRCP,则可得到与PTC相似的图像,且判断梗阻部位更准确。胆道梗阻病因的诊断:常见的胆道梗阻的病因有胆管肿瘤、结石和炎症。前者多为恶性病变,而后两者属良性病变,临床对其间的鉴别非常重要。影像学检杳主要通过观察胆管扩张的形态和程度、梗阻部位、梗阻末端的胆管形态和有无肿瘤转移的征象等进行分析。一般认为扩张的胆管呈枯枝状或残根状,巨扩张较轻多为良性病变;而软藤状中、重度扩张多为恶性肿瘤所致。梗阻部位越高(如肝门部),恶性肿瘤的可能性越大;胰腺段和壶腹段恶性肿瘤和结石都有可能。
肝、胆等部位有恶性肿瘤存在时,胆道梗阻应该考虑转移所致。扩张胆管末端形态异常改变的观察对胆道梗阻病因的诊断最重要。PTC或MRCP见良性狭窄范围长,呈鼠尾状(鼠尾征);恶性肿瘤则表现边缘不规则,呈偏心性或向心性狭窄或充盈缺损;结石引起的胆管扩张的下端多出现边缘光滑的杯口状充盏缺损(杯口征)。CT或MRI显示扩张胆管突然中断,即胆管由大逐渐变小在2cm之内,末端层面见到阳性结石影,出现半月征或靶征,则可明确病因为胆管结石;末端层面见到软组织肿块,出现胆管不规则变窄,管壁增厚,提示恶性肿瘤;如果胆管由大变小逐渐过渡,范围在3cm以上,多为炎症狭窄。
恶性梗阻在胰上段及肝门段,多首先考虑胆管癌,其次是淋巴转移,在胰头段多为胰腺痛,在壶腹部多考虑为壶腹癌。恶性征象有:1)软藤征,指肝内胆管扩张,其走行柔和,形似软藤,在恶性胆道梗阻中出现率最高;2)空虚征,最初在ERCP造影中被提出,但也同样适用于ERCP图像,表现为病变以上胆管极度扩张,肝内胆管扩张呈软藤样,病变以下胆管显影止常,而肝门部胆管无显影,致使肝门部胆管充盈缺损呈空虚状态;有约50%的空虚征是由高位胆管癌引起;3)截断征。表现为扩一张的胆管突然变窄或消失,肝门部胆道梗阻时,由于位置较高。肝内胆管树枝状扩张,又称残根征;4)双管征,表现为胆总管及胰管同时扩张,说明梗阻点比较低,多见于胰头癌、壶腹痛及十二指肠乳头癌等;5)软组织肿块影,多数资料认为胆道梗限时,有软组织肿块,同时合并扩张的胆总管突然中断,是诊断恶性胆道梗阻的肯定依据。
软藤征是由于梗阻在较短时间内进行性加重,胆管内压进行性升高,进而导致小胆管腔扩大、小胆管壁变薄所致。此时,胆管壁仍柔软有弹性,阻塞端以上胆管明显扩张、纤曲、延长而呈藕节状。软藤征的出现高度提示着梗阻相应部位恶性肿瘤的存在。软藤征虽然是恶性梗限的一个重要征象,但并不是其特异征象,少数良性梗阻(如医源性胆道损伤、Mirizzi综合征和胆总管结石嵌顿在乳头部等)也可出现软藤征。

018:肾周晕征又名肾周晕轮征
【影像表现】CT上肾前筋膜增厚,肾前旁间隙渗出、积液,肾周间隙内脂肪密度被月晕状低密度影代替,低密度影CT值较高,可25Hu。
【征象解释】肾周晕征是急性坏死性胰腺炎(ANP)并发症的CT征象之一,急性坏死性胰腺炎疏松结缔组织炎由含蛋自酶的胰液外滋引起,常发生在胰尾,表现为肾前筋膜增厚。穿破肾筋膜累及肾周脂肪层,形成肾周晕征。
【讨论】急性胰腺炎病理学上分为2型:1)急性水肿型(间质型〕,较为常见,约占90%,胰腺呈弥漫性或局限性水肿,体积增大,间质水肿、充血和炎性细胞浸润。可有胰腺周围脂肪坏死,但无胰实质坏死改变。2)急性坏死型(出血型)。胰实质内腺泡和胰腺周围脂肪组织大片坏死,伴血管坏死出血,是本症的特点。腹腔内大量血性渗液,由于渗透液中含有大量胰脂酶,因而使网膜、腹膜及其他脂肪组织也大片坏死,此型病死率达50%。急性坏死性胰腺炎(ANP)可发生胰腺灶性或弥漫性坏死,并继发假性囊肿形成、感染、休克以及多器宫功能衰竭综合征等严重的并发症,病死率高。早期诊断ANP,早期评估胰腺坏死程度及严重度分级。并及时发现其并发症,是降低ANP病死率和提高生存率的关键。多排螺旋CT的出现及各种三维重建技术的应用,对ANP的评价优势更是日益突出,可反映胰腺及周围局部的情况,如胰腺实质有无坏死、胰周及腹膜后炎性扩散的范围、有无并发症等情况,为临床ANP诊断及治疗提供丰富信息。急性坏死性胰腺炎的CT诊断依据:
1)胰周积液CT值15hu,系单纯的胰周积液;如ct值较高,25Hu,是伴有脂肪坏死的指征;
2)胰腺内低密度影,CT值可降为0~22Hu;
3)增强CT示不强化区3cm或胰腺受累区30%,表现为点状、斑片状及大片状,如有出血时可见高密度影夹杂在低密度影中;
4)坏死的范围可分为弥漫性、局灶性和多发性。评估急性胰腺炎预后最常采用Balthazar分级标准:A级—胰腺正常;B级—胰腺肿大,弥漫性或局限性增大,密度不均或有小区域的积液,轮廓模糊,但不伴有胰周积液;C级—炎症蔓延至胰周。除胰腺实质异常外伴有胰周积液及胰周脂肪密度异常;D级—炎症扩散至胰外1个间隙,示境界不清的积液试和炎性肿块;E级炎症扩散至胰腺邻近2个以上的区域,示积液或积气。程燕等报道胰腺坏死.与腹膜后扩散范围的关系;根据Balthazar等的文献报道,胰腺坏死程度与腹膜后炎性扩展范围是急性胰腺炎的2个重要顶后指标。
在胰腺坏死50%的急性坏死性胰腺炎中,腹膜后炎性扩展范围分级达E级的占70%,统计发现急性坏死性胰腺炎胰腺坏死程度与胰周、腹膜后炎性扩展的范围大小之间存在着统计学意义上的关联性。其趋势是坏死程度越重,腹膜后炎性扩展范围分级越大,反之亦然。

019:直线征
【影像表现】经动脉门脉造影CT(CTAP)肝实质内出现三角形或楔形低密度区,其与增强肝实质之间出现的直线样分界线,此线从肿块延伸至肝脏边缘,称为直线征。
【征象解释】直线征是肝脏肿瘤直接侵犯或血凝块阻塞门静脉分支的CTAP表现,以肝癌多见。三角形或楔形低密度区代表受累门静脉分支远侧低灌注区,增强肝实质代表门静脉分支血流量正常灌注区。
【讨论】直线征由Tyrrel等在1989年首先描述并正式命名。
CTAP是近年来提出的一种CT与血管造影术相结合的新的影像学检查方法,是将造影剂经导管注人肠系膜上动脉或脾动脉、于门静脉期CT扫描所获图像。其基本原理是,正常肝脏为双重供血,肝动脉供应的血液占20%~75%,门静脉占75%~80%。但肝脏绝大多数肿瘤仅有肝动脉供血,少数还有门静脉供血。正常肝实质与肝肿瘤之间血流灌注的差异是CTAP检测肝脏肿瘤的主要生理及病理学从础。CTAP的成功实施是由于门静脉山肠系膜上静脉和脾静脉汇合而成,对比剂由肠系膜上动脉或脾动脉注入后,经部分肠道或脾循环回流入门静脉至肝脏,使正常肝组织达到最大限度的强化,而大部分肝肿瘤无门静脉供血表现为低密度灶,与明显强化的肝实质形成强烈对比而被检出。
直线征首先由Tyrrel等提出。是指肝脏中央的肿瘤,其远侧低灌注区表现为较大楔形或扇形灌注缺损。形态沿肝叶或肝段分布,从肝脏中心部分指向包膜,与增强肝实质之间出现的直线样分界线。直线征形成的原因为邻近肿瘤的门静脉被肿瘤组织直接侵犯、门静脉瘤栓或肝门处的肿瘤压迫门静脉分支而造成门静脉管腔阻塞所致。文献报道,肝癌CTAP检查该征出现率为11.5%、36%及38.5%不等,但其共同特点是呈现典型的楔形或扇形灌注缺损。缺损的近侧在延迟CTAP或MRI检查时均显示有一大小不等肿块影,邻近门静脉显示不清、阻断或变窄,直线征也都消失。该征出现常提示肝脏肿瘤邻近门静脉受累及其所供血范围肝组织血流障碍,一方面有助于评价肿瘤真正的大小及与周围的关系,另一方面有助于临床制定不同的治疗计划口当怀疑直线征存在时,延迟CTAP及MRI检查是必要的,因为多数病例在延迟:CTAP和(或)MRI检查时,显示出病变的位置,并显示出病变远侧的正常肝组织,DSA经动脉门静脉造影有助于进一步确定门睁脉阻塞的部位及形成阻塞的原因。
CTAP时,肝实质呈密度均匀的普遍强化,而肿瘤组织由于血供因素表现为低密度区。但灌注异常区并不意味着肿瘤,它可能是良性或恶性肿瘤,也可能是非肿瘤的灌注异常,即非肿瘤性灌注缺损(又称为假阳性病变),后者主要原因很多、主要包括肝纤维化、局灶性脂肪浸润、变性结节、肝静脉未强化、解剖变异、肝门静脉栓塞等。
总之,在CTPA上直线征主要是由肿瘤或血栓阻塞门静脉引起。对于中心性肝细胞癌,此征具有非常重要的意义,因为出现此征即意味着肿瘤不可切除;而对于转移瘤患者,出现此征员然井不表示不能行手术治疗甲但至少可以提示外科医师肿瘤与门静脉关系密切。

020:珍珠项链征又名珍珠项圈征
【影像表现】在CT或MRCP及T2WI上增厚的胆囊壁中多发、微小圆点状的高信号囊腔,大小2~7mm,一般为4mm,形似珍珠项圈。
【征象解释】胆囊肌层及上皮增生、肥大,粘膜外翻进入肌层形成罗-阿氏窦。因为罗-阿氏窦内充满胆汁,在MRCP或T2WI增厚的胆囊壁内可呈显著高信号点。
【讨论】胆囊腺肌瘤病是胆囊上皮及肌层增生,粘膜向增厚的肌层内突出或穿过肌层形成罗-阿氏窦,是胆囊的一种常见疾病。发病率为2.8%~5%或更高,常表现为胆囊壁的局限性或弥漫性增厚,因此必须与胆囊癌鉴别。
胆囊腺肌瘤病有3种分型:弥漫型、节段型、局限型。因为有这种形态变异,它可表现为弥漫性胆囊壁增厚或局限性、局灶性损害,可能被误以为胆囊癌口因此,胆囊腺肌瘤病与胆囊癌的影像学区别是非常重要的口病理学上,胆囊腺肌瘤病的特征表现是增厚的胆囊肌层中看到罗-阿氏窦,罗-阿氏窦的发现是诊断胆囊腺肌瘤病的关键点。
在静脉胆道造影中充满造影剂的罗-阿氏窦被认为是胆囊腺肌瘤病的特异性病征,也称为珍珠项链征。然而,罗-阿氏窦的显示率相对较低(大约5%),因为胆囊不可能一直充满造影剂。虽然,静脉胆道造影检查前服脂肪餐可能改善罗-阿氏窦的显示,但还是不够;而且,静脉胆道造影用的造影剂频繁发生变态反应,有时可能导致过敏性休克口目前,对于胆囊疾病的非创性且方便的检查方法首选US。虽然US对胆囊腺肌瘤病的诊断有一定的敏感性,但因为它依赖操作者的经验,所以有一定的不确定性,其观察视野小、肠道气体、肥胖及与结石共存使US在胆囊壁的评估仁有一定困难。因此,Us在胆囊腺肌瘤病的诊断准确率只有60%。
CT及MRI可发现胆囊壁的局限性或弥漫性增厚,以及病变处勒膜层的早期强化和浆膜层的延迟强化,但很难与胆囊炎和胆囊癌相鉴别。罗-阿氏窦内含胆汁,在T2WI上表现为胆囊壁肿块内或增厚的胆囊壁内直径为4~7mm的类圆形高信号灶;在动态增强扫描图像上,表现为增强的肿块内或增厚的胆囊壁内不强化的低或无信号灶。由于动脉期CT或MRI增强比较低的对比度与空间分辨率,较多小的罗-阿氏窦无法显示,动脉期CT或MRI能鉴别最小直径5mm的罗-阿氏窦,而MRCP能鉴别的最小直径是3mm,MRI重T2加权快速自旋回波序列在胆囊腺肌瘤病中的诊断价值已经被研究,因为罗-阿氏窦充满胆汁,在增厚的胆囊壁中可呈显著高信号点。单次激发快速SE序列MRCP很少出现运动伪影和磁敏感性伪影,对于显示罗-阿氏窦,单次激发快速自旋回波序列MRI比动脉期CT或MRI增强扫描及重T2加权快速自旋回波序列更可靠。
珍珠项链征在诊断胆囊腺肌瘤病方面特异性较高,达92%。因此,在诊断胆囊腺肌瘤病和鉴别胆囊腺肌瘤病与胆囊癌中是较为特异性的。MRCP对于显示3mm的罗-阿氏窦有一定困难。胆囊囊壁内钙化在CT上能帮助诊断胆囊腺肌瘤病,而在MRCP上可能成为一个陷阱。浓胆汁比正常胆汁有更短的T1时间,浓胆汁患者罗-阿氏窦可能无法鉴别。因此珍珠项链征在这些患者中不能被鉴别,特别是用长回波时间的MRCP技术。浓胆汁T1时间短,在T1WI中显示为高信号强度。因此T2WI可能对证明罗-阿氏窦有帮助。因为胆囊壁内脓肿或黄色肉芽肿的存在。黄色肉芽肿性胆囊炎可能显示类似的珍珠项链征。胆囊腺肌瘤病与胆囊癌有时可以共存,员然很少见,但有这样的病例限制了珍珠项链征鉴别胆囊腺肌瘤病与胆囊癌。因此,那些局部胆囊腺肌瘤病的患者特别要密切随访检查,即使在MRCP图像上已明确异示珍珠项链征。

021:囊中囊征又名子囊征
【表现】肝细粒棘球蚴病在B超和CT检查时,母囊内出现大小不一、数目不等的子囊,形成多发或蜂窝状,有时呈车轮状。
【解释】囊中囊征为囊型肝棘球蚴病的特征性表现,母囊即为棘球蚴囊本身,子囊山母囊生发层产生的生发囊或头节。生发囊脱落于囊中,形成子囊,漂浮于母囊中,形成特征性的囊中囊征。
【讨论】肝棘球蚴病即包虫病,是由棘球锄寄生于肝脏引起的,其发生率居人体棘球蚴病首位,占人休棘球蚴病的53%~75%。主要流行于牧区,患.者有牧认生活史或与犬、羊及其皮毛接触史。
肝棘球蚴病分为两型,山细粒棘球蚴虫卵感染引起的细粒棘球蚴病和山泡状棘球蚴虫卵感染引起的多房棘球蚴病。细粒棘球蚴病约占98%,泡型棘球蚴病少见。两型棘球蝴病的感染途径相同,虫卵被吞食后在小肠内孵出六钩蚴,黝经肠壁血管随血流经门静脉入肝,逐渐发育成肝棘球蚴囊,但其在肝内发生病理改变不同。囊中囊征可见于细粒棘球蚴病。
细粒棘球蚴形成的棘球蚴囊多寄生在肝右叶,常单发,少数多发,呈缓慢膨胀式生长,逐渐长大成巨囊。在生长过程中,棘球蚴囊周围炎症反应形成较厚的纤维性包膜,构成了棘球蚴囊的外囊。棘球蚴囊本身为内囊口外、内囊之问有丰富的血管可保证棘球蚴囊的血供。内囊很薄,山外层的角皮层和内层的生发层组成。角皮层起到保护生发层和吸收营养的作用;生发层有很强的繁殖能力,可向囊腔内生成带细蒂的生发囊,内含许多头节。生发囊脱落于囊中,形成子囊,漂浮于母囊中。头节也可产生子囊。子囊与母囊相同,可继续产生生发囊或孙囊,形成祖孙三代共处一囊中。囊壁破裂为严重的并发症。囊内含有毒性蛋白的液体,可引起变态反应,甚至发生过敏性休克;破裂出的头节种植于腹腔继发新棘球蚴囊。长期生长的棘球蚴囊内囊壁可发生钙化。
临床表现.呈慢性过程,早期可无症状,或出现变态反应。进展期囊肿增大,出现腹胀、食欲缺乏、肝大。常伴有右胸腔积液。实验室检查血嗜酸性粒细胞增多,囊液抗原皮内试验和补体结合试验阳性。
肝棘球蝴囊肿的超声特点与一般囊肿相似,可见单囊或多囊的无回声区。依据其特征分为单囊划、多囊型、噢沙型、混合型和母子囊型。可见囊中囊,即母子囊回声和钙化囊壁的强回声,少数囊内不均匀细粒状、条带状、岛屿状的囊沙回声。
细粒棘球蚴病的CT表现颇具特征性,在肝棘球蚴病的诊断,棘球蚴囊肿的定位,了解囊肿数目、大小和形态及并发症方面,CT是一种主要的检查手段。主要表现有:
1)单纯囊肿型,肝棘球蚴囊肿大小不一,单发或多发,呈圆形或类圆形,有时呈浅的分叶轮廓,病灶边缘光整、清晰口囊壁密度略高于肝组织,囊壁厚为1~5mm,内外囊壁紧贴,有文献报道,单纯囊肿型可形成双层囊壁结构,显示双壁征。钙化或合并感染时,囊壁明显增厚。囊内密度均匀一致,CT值为-15~25Hu,单纯清澈的囊液密度呈水样,干涸或合并感染时密度升高,注射造影剂后密度不变(无强化)。
2)囊内囊,母囊内出现子囊,即囊中囊征,为肝棘球蚴病的特征性表现,文献报道出现率为52.1%。子囊的数目和大小不一。而且无钙化的子囊密度总是低于母囊,近周边部新生的子囊密度常低于中心部较陈旧的子囊,因而易被CT显示。多个子囊充满母囊时呈多房状或蜂窝状改变,如主要分布在母囊的周边部分则呈车轮状。
3)钙化也为常见表现,外囊壁钙化呈弧形或蛋壳状,厚薄可不规则,囊内容物(母囊碎片、退化的头节和子囊)钙化常呈无定形的条片状或片状。
4)母囊破裂分离,丙感染、损伤或囊液外漏,可造成内囊分离,有以下几种表现:内、外囊部分分离,CT图像显示为双边征、天幕征;内囊完全分离、塌陷、卷缩并悬浮于囊液中,形成特征性水蛇征、水上浮莲征或水上百合征。偶尔完全分离脱落的内囊撒开呈飘带征。
5)并发症以感染最为常见,感染性棘球蚴囊肿有以下特点;囊内密度增高;囊壁增厚;偶见气泡影或形成气-液平面,在排除手术或穿刺术后,被认为是肝棘球蚴囊肿感染的可京征象。此外,因手术或自发破裂后,含头节的囊液流入膜腔内,形成腹腔内棘球蚴囊肿,偶尔可破入胸腔内。
上述各种征象可在同一病例的不同囊内甚至同一囊内见到。CT和B超均为本病的重要检查方法,依据肝棘球蚴病的特征表现囊中囊征等,CT诊断准确率达99%。CT显示各种形态的钙化优于超声,而超声较易发现子囊的壁及囊中碎片等。

022:靶征(肠套叠)
是肠套叠最常见的特征性CT征像,为肠套叠长轴与CT扫描层面垂直时的表现,反映了套叠的各层肠壁、肠腔及肠系膜间的关系。典型排列为自外向内分别代表鞘部外层肠壁、鞘部肠腔内造影剂、鞘部内层肠壁、偏心性套入部肠系膜、套入部肠壁、套入部肠腔内造影剂。
肠套叠是指一段肠管及与其相连的肠系膜(套入部)被套如其相连的一段长管内(鞘部),导致肠内容物通过阻碍。婴儿由于大肠与小肠管径之比例相差大。故小肠易陷入大肠而被套牢。少数肠套叠可能来自某些器质性病变如美凯尔憩室、肠息肉、异位胰腺小结、血管瘤、异物、复制肠管、淋巴增生、肿瘤、寄生虫等,其中以美凯尔憩室最多,过敏性紫斑也常会合并肠套叠,大于2岁的小孩发生肠套叠,一定要考虑到这些病变。大于5岁的病例中,则以淋巴瘤为最多;成人肠套叠小肠多见,常伴发良性病变;结肠型肠套叠则更多由恶性病变继发。良性病变有脂肪瘤、平滑肌瘤、血管瘤、神经纤维瘤、腺瘤样息肉、美克尔憩室、术后粘连机场动力性病变等;恶性病变有转移瘤、腺癌、类癌、淋巴瘤及平滑肌肉瘤等。由于肠套叠长轴与CT扫描层面的角度不同,表现各异。如扫描层面和迂曲的肠道相平行时,表现为彗星尾征或肾形征:即套叠近端肠系膜血管牵拉聚拢的征象。
一般情况下,慧星尾征均与肾型肿块相伴出现。该肾形肿块为套鞘部游离缘与套入部近端肠管及肠系膜的CT斜切面图像,其中游离的套鞘呈弧形围绕套入部,形状若肾轮廓外形,而套入部近端肠管、肠系膜形状若肾蒂。此时,所谓慧星尾征的组成还应包括套入近端肠管。如果套叠的肠管与CT扫描垂直,则呈靶形征,即肿块影表现为圆形或类似环形。通常在肿块内可分辨出层样结构,推测可能是继发于套入部和鞘部间的液体或是肠壁水肿造成密度对比,类似同心圆形;当套入部肠壁显著水肿坏死或套入部肿瘤周围浸润累及肠系膜,肠系膜血管及脂肪、套叠时间较长,套入部系膜血管受挤压时,静脉血液回流障碍,套入部肠壁充血水肿、变硬,形成不完全性肠梗阻,套叠以上肠管蠕动增强,可引起代偿性肠管扩张肥厚,并可见肠系膜连同其血管纠集、扭曲,形成“漩涡征”。
成人肠套叠还有一些间接征象可帮助诊断,如肠壁不规则增厚或见密度不均匀的软组织块影,伴周围系膜及筋膜浸润、腹膜后淋巴结增大,则提示病因是恶性肿瘤。肿瘤所致肠壁水肿、坏死与部分炎症引起的套叠无法明确区分,肠壁及肠系膜血管有增厚伴肠壁内气体影的征象可提示血运障碍。如CT显示肠套叠直接征象、并伴随近段肠梗阻征象,则表示套入时间较长。如果套入部肠壁及鞘部组织发生水肿、变硬,形成不完全性肠梗阻,套叠以上肠管蠕动增强,可引起代偿性肠管扩张肥厚。


023:靶征(肠壁)
主要见于腹部增强扫描,增后的肠壁表现为三层结构,内层和外层是高密度强化层,两者之间是低密度的中间层。靶征出现于可导致长鼻粘膜水肿、炎症或两者同时存在的多种肠管病变。其内层代表粘膜层,外层代表固有层和浆膜层,由于对比剂的强化而成高密度,中层的低密度被认为是由于粘膜下层水肿所致。靶征的出现提示粘膜和固有层、浆膜层的充血并伴有粘膜下水肿和炎症。颈静脉注射对比剂后,各层之间的密度差异在动脉早期和门晚期表现最为清楚,如果对比剂注入速度太慢、剂量太少以及延时超过2分钟,此征根本不出现。但是当粘膜下水肿非常严重时,CT平扫也可能出现。如果肠管内充满水而使肠管扩张时,靶征显示更为清楚。
CT扫描时,良性的肠管病变通常表现为肠壁的环形均匀性增厚,厚度从粘膜面到浆膜面一般不超过1公分,根据病因和病变严重程度的不同,偶尔可能超过1公分,但一般在2公分以内。肠壁出现靶征的病变主要见于缺血性肠病、小肠壁内出血、克隆氏病、溃疡性结肠炎、血管性疾病、感染性疾病、放射疾病和门脉高压所致肠粘膜水肿等。靶征并不是一个特异征象,但是在恶性病变中一般不出现此征,只是浸润性直肠癌是一个例外。
所以,一般情况下,靶征的出现,首先要考虑的是肠道的炎症性病变。以下病例是一个系统性红斑狼疮的年轻女性患者:

024:不成比例脂肪绞缠征
不成比例脂肪绞缠主要指的是增厚肠壁和周围脂肪在数量方面比例的严重失衡。在少数急性胃肠道疾病中,以肠壁相邻的肠系膜为中心而不是以肠壁为中心,因此肠壁周围脂肪增厚明显高于肠壁厚度。和这一征像相关的疾病主要包括4类:憩室炎、肠脂垂炎、网膜梗死和阑尾炎。
胃肠道的大多数炎性疾病包括感染性的、非感染性的和局部缺血性的病变,是以肠道为中心。这些疾病的肠壁增厚程度往往超过相邻脂肪条索的厚度。但是对于少数以肠壁临近系膜为中心的疾病,脂肪增生明显超过肠壁的厚度。

025:脂肪晕征
“脂肪晕”征的CT表现为肠壁与黏膜之间的环形低密度影,密度均匀,形态与肠腔相一致,CT值-10到-68Hu,厚度基本相等。发病部位以升结肠、横结肠、降结肠多见。出现伴随性肠周围脂肪聚集和肿大的淋巴结,则位于肠壁之外。黏膜下层脂肪聚集形成的环形结构称为“脂肪晕”征,它是慢性炎症性肠疾病、细胞减数治疗或器官移植的急性表现。
小肠和/或结肠壁内出现脂肪曾经被认定为炎症性肠疾病,也可以说是Crohn′s病的征象。如果“脂肪晕”征在结肠出现同时伴有肠壁增厚则是溃疡性结肠炎的征象。但是目前有人提出,“脂肪晕”征也可以是正常表现。非炎症性肠疾病时出现“脂肪晕”征是正常的或是肥胖症。
肠腔中度扩张时可以更好地显示“脂肪晕”征。但是,当肠腔扩张非常明显的时候,此征象则很少出现或消失,这可能是肠腔扩张肠壁紧张压迫脂肪层所致。清洁的肠腔自内向外可以形成气体—黏膜—脂肪晕—肠壁的结构层次,而非清洁肠腔则结构层次为肠内容物—脂肪晕—肠壁,因为黏膜与内容物混为一体。

左图:慢性溃疡性结肠炎横轴位CT图像:增厚的直肠壁表现为脂肪晕征,可见明显的直肠周围脂肪。
中图:溃疡性结肠炎CT图像:内环为粘膜层,外环为固有肌层,中间层为水肿的粘膜下层。
右图:克罗恩回结肠炎CT图像,显示回肠末端及盲肠增厚,伴有周围纤维脂肪增值。旁见一枚增大的淋巴结。
以上三图中,红箭头所指均系肠壁内脂肪。一般来说,肠壁脂肪的CT值应该在-10hu以下,但是由于部分容积效应,或同时并存的肠壁水肿,密度可能会较高。所以要注意“脂肪晕”征与水肿的鉴别:“脂肪晕”征的病理基础是黏膜下脂肪的聚集,而水肿是肠壁组织间隙水分的增多。所以,水肿以肠壁增厚为主,而“脂肪晕”征以黏膜与肠壁的分离为主。水的密度高于脂肪,CT值在0Hu左右。另外,水肿是某种疾病的急性反应并有相应的临床症状,而“脂肪晕”征的患者是无胃肠道症状的。
“脂肪晕”征、Crohn′s病、肾结石、肥胖症之间的关系Crohn′s病与“脂肪晕”征的共性是都有脂肪晕。Crohn′s病的脂肪晕程度小于“脂肪晕”征且常伴有黏膜紊乱、肠壁增厚、肠腔狭窄等变化而单纯“脂肪晕”征没有。有人报告Crohn′s病患者中肾结石呈高发状态,说明了Crohn′s与肾结石的关系。肠壁“脂肪晕”征是炎症性肠疾病的表现之一,但可以在没有炎症性肠疾病时出现,此时代表正常表现或肥胖症。
026:蜂窝征
腹腔内残留纱布在人体内引起渗出或液化坏死并纤维包裹形成异物性脓肿(纱布瘤)。
纱布瘤的影像特点是:圆形或卵圆形肿块,较大,有完整包膜,薄壁,较少的情况下为后壁,边界较完整,增强后薄膜可以持续强化。不同时期的纱布瘤可以不同的表现:早期(如10各月或半年前)的多表现为蜂窝状;2~5年内一般表现为囊性飘带状;10~20年之后则为实性软组织密度,包膜钙化呈钙化性网状结构。手术过程中残留在人体内的医用纱布所形成的肿瘤样病变。以下是不同时期纱布瘤的表现:

027:腹茧症:全部或部分小肠被一层致密、灰白色的纤维膜所包裹,形似“蚕茧”,故称为腹茧症,又称为特发性硬化性腹膜炎、小肠禁锢症、小肠纤维膜包裹症等。多见于青春期女性。腹部CT十二指肠空肠交界处扭曲,肠系膜增厚伴上消化道扩张,提示不全性肠梗阻。X线可发现全部或部分小肠聚拢于某一部分,位置固定。CT检查有更助于腹茧症的术前诊断。CT能显示梗阻程度及包块内肠管的情况,还能显示包裹在肠管周围的纤维包膜。一旦观察到包膜便可诊断腹茧症。典型的CT表现为扩张的小肠肠袢固定在腹部的某一部位,并被增厚的包膜所包裹或分割。增强扫描示包膜强化明显,部分病例可见腹腔积液及肠管间积液。
鉴别诊断
需要与腹膜包裹症鉴别,后者(1)结核性腹膜炎所致的腹膜纤维化:表现为腹膜与肠管及网膜间有不易分离的广泛致密粘连,网膜增厚,收缩成团,悬在横结肠处,病理可见典型的干酪样肉芽肿。
(3)硬化性腹膜炎:多发生于腹膜透析、腹腔化疗、腹部手术、肝硬化腹水及长期服用普拉洛尔等,全腹紧缩、质硬如板,腹膜壁层及全腹脏器广泛粘连,肠管间粘连紧密,难以分离。

028:车轮征
腹部CT平扫,肠系膜血管增厚并延长聚集在一起,充满液体的扩张肠襻呈放射状排列的肠系膜血管周围。当小肠扭转时,肠系膜根部相应发生扭转,肠系膜短变紧并沿着旋转轴呈漏斗形。这使得与肠系膜相连的得肠管呈同心园围绕在肠系膜血管周围,扭曲增厚的肠系膜血管占据中心,肠管扩张,肠腔内充满液体。分布在肠系膜上的血管由肠壁向扭转的肠系膜根部放射状排列,形成软组织密度的皱襞,形似车轮的辐条与中心的车轴相连,称作车轮辐条征。当所扫描的横断图像与扭转肠襻的长轴呈垂直位的时候,该征象显示最清楚。小肠扭转是较少见却能威胁生命的外科急症。其伴随肠缺血的发生率高达46%,肠扭转是各种因素相互作用使肠管损害比单纯机械性肠梗阻更严重。
首先,肠系膜扭转本身使得肠系膜血管早期血供发生障碍,肠管缺氧,缺血进一步发展会导致肠坏死。其次,小肠扭转被认为是急性闭袢性肠梗阻的典型例子,于简单的机械性肠梗阻不同,闭袢性或机械性肠梗阻是一段肠管阻塞,有两个阻塞点,给该段肠管闭塞影响了该段肠管的连续性。
无论阻塞发生在哪段肠管,肠管内液体迅速积聚,并且由于细菌大量繁殖,是气体大量产生,肠管内压力增加,肠管扩张,进一步加重肠壁血供障碍,最终发生缺血性梗死,坏死及穿孔。
小肠扭转最常见的原因(所谓继发性肠扭转)是肠粘连及内外疝,两段相互靠近的肠管相互粘连所产生的挤压效应使得一段较长的移动阻塞的肠管仅有一个相对窄的基底,这种解剖结构使得该闭合襻沿着其长洲旋转继而形成肠扭转。在CT扫描上已经有一些征像用来诊断单纯或闭袢性肠梗阻。如2个塌陷的肠襻相连、鸟嘴征(三角征)、漩涡征等。车轮征除了有助于诊断闭襻性肠梗阻外,对于预测绞窄性肠梗阻也有帮助,因为辐条征能对闭袢、肠系膜及肠系膜血管作出评估,在肠道缺血坏死时上述结构能做出特征性改变,因此有人提出上述征象有助于区分闭袢性肠梗阻中坏死和非坏死的肠段。

029:延迟强化征
【影像表现】肝脏CT增强扫描延迟期,造影剂充填病灶并停滞较长时间,使病灶与周围肝组织密度差消失。
【征象解释】延迟强化征为肝脏海绵状血管瘤的特征性CT征象。肝海绵状血管瘤由充满血液的血管窦腔构成,窦腔间有纤维组织间隔,CT增强时,早期表现为病灶周围结节状强化,随时间延迟逐渐向中心推进,最后造影剂充填整个病灶。并停滞较长时间。
【讨论】肝血管瘤是肝内最常见的良性肿瘤,占肝良性肿瘤的84%,以高龄女性多见。病理分类包括海绵状血管瘤、毛细血管瘤及血管内皮瘤,以前者多见。病变可单发,亦可多发,发生部位以肝右叶常见。多数病例无明显临床表现。较大病灶可造成上腹不适,触诊可触及包块。病理上肿瘤被覆一层结缔组织膜,由充满血液的血管囊腔构成,囊腔间有厚薄不等的纤维组织间隔,囊腔壁衬以扁平内皮细胞。肿瘤可发生纤维化、钙化,并可有血栓形成。在肝组织中缓慢增长的血管瘤可产生占位效应,类似肿瘤,但镜下病理组织学所见由多数大小不等扩张的异常血窦构成,血窦内皮细胞无异常增生,表明血管瘤是由于血窦胚胎发育异常而导致其窦腔血流不畅和扩张的结果,属门静脉先天性畸形而非肿瘤。因此,有些学者将CHL列人先天性肝脏血管畸形或肝脏血窦畸形。
影像学是肝海绵状血管瘤诊断和鉴别诊断的主要手段。超声显示肝内均质、边界清楚的强回声,或强回声伴不规则低回声肿块,病变内可显示扩张的血窦。CT平扫表现为肝内低密度占位,轮廓清楚,密度均匀,少数病变中央区可见更低密度区,代表血栓机化或纤维瘫痕组织,部分病灶可发生钙化。增强扫描较有特征,典型病变早期边缘显著强化呈结节状或斑片状,密度与动脉类似,随时间延长,增强区域逐渐扩大并向病变中央推进,延迟扫描呈等密度或略高密度,病变中央更低密度可始终无强化,并非所有海绵状血管瘤都具有上述典型的CT增强表现,部分病变可不强化,或强化不明显,这是因为血管瘤窦腔壁厚,腔隙过小,造影剂不易进人或进入较少。CT动态增强扫描对诊断肝海绵状血管瘤的重要方法,诊断正确率可在90%以上。放射性核素肝血池扫描及肝血管造影检查有助于肝血管瘤的诊断,表现为无肿瘤染色,边缘清楚锐利,血管瘤显影时间较长。MRIT1WI呈低信号强度,T2WI信号异常增高,呈“灯泡征”。鉴别诊断
1)肝细胞癌,CT增强缺乏延迟强化征,其典型表现为快进快出,即动脉期造影剂迅速强化,门静脉期造影剂迅速消退;
2)肝转移瘤,部分肝内转移瘤增强扫描早期可出现边缘强化,类似血管瘤表现,但延时扫描呈低密度可资鉴别;
3)肝脓肿,脓肿周围可见低密度晕环,典型病变呈环形强化。
030:高密度环征
高密度环征是指在压痛部位结肠旁可见与结肠壁相连的肿块,近似于乳腺密度,中心密度较低,边缘密度较高,邻近脂肪间隙模糊,局部腹膜增厚。此为炎症导致增厚的脏层腹膜。组织病理显示致病的肠脂垂外脏层腹膜覆盖纤维白细胞渗出物。肠脂垂见于腹水CT。肠脂垂因扭转或自发性静脉血栓而梗死,继发炎症反应,称为原发性肠脂垂炎,区别于因周围器官病变导致的继发肠脂垂炎。原发性肠脂垂炎的影像表现具有特异性,可以明确诊断。CT显示结肠周围1-4cm的脂肪密度团块周围2-3mm高衰减环。偶尔有高衰减中心,此为栓塞的血管及出血坏死。
鉴别诊断包括继发肠脂垂炎和网膜梗死。结肠憩室炎是继发肠脂垂炎最常见的原因,需通过有无临近憩室、结肠壁增厚脓肿除外,多普勒超声有助于炎症和梗死的区别。网膜梗死常更大(3.5-7cm),蛋糕状,预后与原发性肠脂垂炎相。肠脂垂附于结肠带,特别是沿独立带和网膜带的两侧,多见于盲肠和乙状结肠,为许多大小不等、形状不定的脂肪小突起,它是由肠壁浆膜下的脂肪组织集聚而成。每个肠脂垂通过一个狭窄的短蒂供血,这个带蒂的特点及较大的活动性大大增加了扭转及梗死机率,从而导致局部缺血引起炎症和四周水肿。由于脂垂分部广泛,患病部位可自盲肠至乙状结肠,疼痛部位亦随之变化,压痛最明显的部位即病变脂垂所在部位,重者可有反跳痛及肌紧张,较少见,不易与急性阑尾炎、乙状结肠憩窒炎及某些妇科疾病相鉴别。
当发现阑尾炎症状与体征不相符的患者时,经过CT检查,发现较典型的影像学表现,即可考虑到本病的存在。因为好发于下腹,临床常诊断结肠憩室炎和阑尾炎原发性肠脂垂炎是自限性疾病,一般1周后自动缓解,因此明确诊断很重要,可以避免不必要的手术和临床处理。
031:箭头征
阑尾炎CT的直接征象是阑尾形态的异常,表现为阑尾外径增粗和阑尾壁的增厚。正常阑尾的直径一般3~5mm,有些报道在阑尾腔内无对比剂的情况下,正常阑尾外径可达11mm。急性阑尾炎患者的阑尾平均直径达11mm。不能单凭阑尾增粗(>6mm)或阑尾壁增厚(>3mm)来诊断阑尾炎,必须结合其他征象综合考虑。
“箭头”征阑尾炎的一个比较典型的CT表现,是造影剂汇集在盲肠尖端(阑尾起始部)形成的箭头样、鸟嘴样改变,是阑尾炎症蔓延到盲肠尖肠壁的结果。如果在盲肠的尖端汇集的不是高密度的造影剂而是气体,那么显示的就是空箭头征。如果造影剂汇集于结肠憩室的口部,也会显示这样的征象。箭头征也见于急性阑尾炎的CT增强扫描中,急性阑尾炎患者的阑尾血流比率比正常肠道高,增强扫描时可见其强化。部分患者由于炎症时肠壁血管内血栓形成,使局部血流受阻,阑尾血流比率可等于或低于正常肠道,甚至无血流灌注,CT上阑尾表现为等密度,低强化或无强化;另外阑尾炎时,其邻近肠管可继发炎症,局部血流增加,有时CT上可见局部盲肠壁增粗,强化时增强,似箭头一样指向病变阑尾。“箭头”征是造影剂汇集在盲肠尖端(阑尾起始部)形成的箭头样、鸟嘴样改变,是阑尾炎症蔓延到盲肠肠壁的结果。见到此征象,有文献报道,阑尾炎的特异度几达100%。有些患者由于炎症较轻,肠道血流可无明显改变;也有些病例,可能是肠壁部分血流受阻,与炎症引起的血管扩张相抵消。因而其血运明显受阻,局部造影剂减少所致。
阑尾粪石可能增强阑尾穿孔的机会,当发现阑尾钙化或阑尾粪石,同时合并阑尾周围炎时,是诊断阑尾炎的可靠征象。阑尾粪石也可出现在阑尾穿孔形成的脓肿或蜂窝织炎内。阑尾周围炎表现为阑尾周围脂肪组织中条索状、斑片状密度增高影(称脂肪条带征)、结肠后筋膜增厚、阑尾周围液体渗出,局部形成脓肿。阑尾周围炎只是阑尾炎的一种主要间接征象,不能单凭此诊断阑尾炎。阑尾周围炎性反应或右下腹脓肿提示阑尾炎,但Crohn病、盲肠炎、憩室炎、肿瘤穿孔和盆腔炎等亦可有相似的表现,应与之鉴别。通过对阑尾强化程度和阑尾周围炎症改变对急性阑尾炎的严重程度作出初步评估,指导临床治疗。正确选择治疗方法基于对急性阑尾炎的正确诊断及对其严重程度的分级,正确诊断急性阑尾炎并区分卡他性阑尾炎、蜂窝织阑尾炎及坏疽性阑尾炎非常重要。总之,阑尾直径增粗>6mm,阑尾壁高度强化伴有或不伴有阑尾周围炎症改变或阑尾中、低度强化,可作为诊断阑尾炎的依据;阑尾周围是否出现炎症可作为区分卡他性阑尾炎与其他类型阑尾炎的依据。
032:肝脏灌注异常(HPD)
HPD是指由各种原因引起的肝段、亚段及肝叶之间的血流灌注差异,在CT、MR动态增强扫描及肝动脉造影时表现为动脉期正常肝实质一过性楔形、三角形或类圆形强化或染色,门静脉期即恢复正常,没有占位效应、强化或染色区内可见正常血管穿行。
这种肝脏灌注异常主要表现在CT增强动脉期的一过性增强,所以又称之为一过性肝亚段强化(TSPE)。THAD作为双期CT增强扫描时一过性肝密度差异,其本质反映了肝段、亚段或肝叶之间的动脉期血流灌注差异,不能概括其他影像检查所见的本质特征,如肝动脉造影时出现的肝段染色,超声检查时出现的斜方形低回声区,MR检查时出现的肝段信号差异等,而HPD却能够反映这一不同影像表现的共同本质特征,因此,HPD更能准确反应这种现象的是实质。
影像表现
CT平扫大多数表现为等密度,少数表现为楔形或三角形低密度区,可能与门静脉分支堵塞后,富含营养的门静脉血流灌注减少,相应肝段出现营养不良性水肿,继发局部的脂肪变性有关。增强扫描时多表现为动脉期一过性楔形、三角形或类圆形异常强化区,少数为强化减低区,门静脉期恢复等密度。这种变化可累及肝段、亚段及肝叶,可多发,也可单发,多位于肝周围区域;MR表现类似于CT,平扫大多呈等T1、等T2信号,少数可表现为长T1、长T2,但MR在显示门静脉堵塞后继发改变较CT敏感。动态增强扫描时强化及分布特征类似于CT。肝动脉造影时见楔形、三角形肝段染色,可位于肝脏相关病灶周围或邻近肝段,有门静脉堵塞者间接门静脉造影可见相应区域染色缺失或减弱,有肝静脉堵塞及异位血管变异者会有相应造影表现;HPD时,超声可能表现为楔形低回声区,超声增强是否通过切面实时观察到HPD,尚无文献报道。但是本例超生检查未发现异常。
HPD的发生机制及相关疾病
1、动脉、门静脉分流(ASP):ASP是引起肝脏内HPD现象的主要原因,它是指肝脏内门静脉和肝动脉系统之间功能性和器质性的交通,导致肝动脉血流进入门静脉系统而出现肝动脉血流的重新分布。ASP的直接征象在CT及MR动态增强扫描时表现为,动脉期在门静脉主干尚未显影时出现肝脏内门静脉分支显影,或者在肠系膜上静脉及脾静脉未显影时出现门静脉分支及主干显影;肝动脉造影时,动脉显影同时出现门静脉分支显影。由于动脉内血流压力大,门静脉内血流压力小,存在ASP的区域含有对比剂的动脉血提前通过瘘口进入门静脉灌注区,而表现为一过性肝实质强化现象或染色,周围不存在APS的区域则表现为正常强化或染色。这种存在于动脉期肝实质的一过性强化现象反应了肝段、亚段及肝叶之间的肝动脉血流灌注差异,属于HPD现象,是肝脏局部动脉血流重新分配的结果。不是所有的APS都会引起HPD,一般认反之则位于顶点部位。肝硬化时,由于假小叶的存在及肝血管结构的扭曲,HPD区域表现为多发斑片状、类圆形表现,和肝癌的动脉期强化难于鉴别,这主要依靠平扫或门静脉期图像为等密度进行鉴别,鉴别困难时可多种影像检查相结合判断。引起APS的常见原因有:
1)创伤,创伤引起肝实质挫裂,肝脏内血管断裂,出现肝动脉与门静脉之间直接交通,即APS。
2)肿瘤,包括恶性肿瘤与良性肿瘤。前者有肝细胞癌、胆管细胞癌及各种富血供转移瘤;后者有血管瘤及肝局灶性结节增生FNH)等。肝细胞癌(简称肝癌)是最常见的肝脏恶性肿瘤。当癌灶较小且位于肝周边部分时,主要通过经肿瘤途径引起APS;当癌灶较大伴有门静脉及肝静脉癌栓形成时,可通过经肝窦、经脉管及经肿瘤等多种途径引起APS。胆管细胞癌可累及肝脏内血管,当累及门静脉及肝静脉分支时,可引起APS。富血供转移瘤引起APS的机制类似于肝癌。以前对血管瘤存在APS的机制报道较少,近年来报道增多。但和肝癌相比,直径3cm的血管瘤出现APS的几率比同直径肝癌多,而后者多见于直径较大且往往伴有门静脉受累的患者。FNH存在异常扩大的肝动脉供血,既不存在门静脉供血也不存在门静脉引流,有关FNH出现APS的确切机制尚不清楚。
3)各种介入性操作,包括经皮肝穿刺活检术、取石术、胆道引流术、肿瘤的各种物理消融术及TIPS等。这些介入性操作可引起肝动脉与门静脉之间直接交通,即APS。
4)肝硬化,肝硬化的主要发病过程就是肝实质损伤后,继发纤维结缔组织的增生及肝细胞的结节样再生,出现假小叶及肝血管结构的扭曲,引起门静脉高压。其血液动力学改变为门静脉血流灌注减少甚至逆向灌注,肝动脉血流灌注代偿性增加。当肝小静脉堵塞,门静脉小分支血流反向时,肝脏内经肝窦途径的潜在交通开放,出现APS。同时,肝硬化时,肝周边区域胆管周围血管丛增生且开通,引起经胆管周围血管丛途径的APS。
5)肝脏内先天性APS,一些肝脏先天性疾病如婴儿型肝血管瘤,遗传性出血性毛细血管扩张症(HAT),各种类型的血管畸形如动静脉畸形(AVMs)。完全性膈下型异位肺静脉引流(TAPVR)等,往往伴有肝脏内先天性APS。
2、肝脏内血管受挤压或阻塞:包括肝动脉、门静脉及肝静脉,以门静脉受累最多见,肝动脉及肝静脉受累较少。当肝动脉受到挤压或阻塞时,造成肝动脉与门静脉之间血液动力学平衡发生改变,受累肝段或肝叶肝动脉血流灌注减少,引起HPD。和多见的HPD影像表现不同,这类HDP在CT及MR增强扫描的动脉期,表现为低密度或低信号区,肝动脉造影为肝段染色减弱区。门静脉受挤压或阻塞时,相应肝段门静脉血流灌注减少,动脉期含对比剂的肝动脉血流灌注代偿性增加,引起HPD。同时,门静脉及肝静脉受挤压或阻塞时,还可继发APS的形成,出现HPD。引起肝脏内血管受挤压或阻塞常见原因有:
1)肝脏内肿瘤性病变,肿瘤既可同时累及肝动脉、门静脉和肝静脉,也可单独累及,但最常累及门静脉。肿瘤对肝动脉的侵犯多为挤压或包绕,引起受累区域肝动脉血流灌注减少;对门静脉及肝静脉的侵犯除了直接侵犯或压迫外,还有瘤栓形成导致闭塞,出现血流减少、减慢或停滞。
2)炎症性病变,局部炎症如肝脓肿、急性胆囊炎、胆管炎等均可引起肝动脉充血和区域性门静脉、肝静脉血流瘀滞、血栓形成及闭塞,受累范围包括炎症区域及其周围肝实质”。最近有报道局灶性嗜酸性坏死也可以引起HPD,病理学上,局灶性嗜酸性坏死表现为局灶性肝细胞坏死及沿血管周围间隙的嗜酸性粒细胞浸润,这种浸润可能造成门静脉血流瘀滞、血栓形成及闭塞而引起HPD。
3)肝实质受挤压,当肝实质受到挤压时,挤压区内门静脉由于压力较低而易受到影响,压力较高的肝动脉往往不受累,于是出现门静脉血流灌注减少,肝动脉血流灌注代偿性增加,可引起HPD。造成肝实质受挤压的常见原因有肋骨的压迫,肝周积液,肝周腹膜腔的肿瘤如腹膜假黏液瘤等。当外压因素解除后,HPD随之消失。
4)其他如肝硬化、布-加综合症、右心衰竭、心包疾病或纵隔纤维化等,可引起肝静脉受挤压或阻塞出现HPD。
3、富血供肿瘤的“盗血”作用:富血供肿瘤包括肝癌及富血供的转移瘤,如胰岛细胞瘤、类癌、肾细胞癌及乳腺癌等,常引起肿瘤所在肝叶、肝段的供血动脉增粗、血供增加,产生虹吸效应,对周围肝实质产生“盗血”作用。这种“盗血”现象类似动静脉畸形时出现的“盗血”现象,使得受累区域肝动脉血流灌注增加,邻近肝叶或肝段动脉血流灌注相对减少,引起HPD。这种“盗血”的净效果取决于肿瘤的位置、肿瘤的富血管程度及肿瘤与肝实质血供的比值大小。
4、血管变异:血管变异主要指一些迷走引流静脉,如副胆囊静脉、迷走胃右静脉、包膜静脉等,这些静脉引流进入肝血窦,构成“第3肝流入道”。由于这些异位静脉引流不经过门静脉系统回流进入肝血窦,直接经体静脉系统进入肝血窦,而门静脉主要由脾静脉和肠系膜上静脉汇合而成,故在CT及MR增强扫描或腹腔动脉造影时,动脉晚期这些引流静脉内含对比剂的血液进入肝血窦均较门静脉为早,从而出现相应区域的一过性强化或染色。这类HPD常见于胆囊窝附近、肝门前方(即第Ⅳ肝段后缘)、第Ⅱ段后缘及第Ⅲ段前后缘、镰状韧带周围以及包膜下区域。形态可以为楔形或三角形,但往往表现为结节状,尤其是位于肝包膜下区域时,有时和肿瘤性病变鉴别困难。有时,胆囊窝周围的肝实质同时接受胆囊动脉的供血,称为肝深支动脉,使得该部位动脉期血流灌注增加,出现类似于副胆囊静脉引流时的HPD现象。
5、其他:肝外门静脉主干、肠系膜上静脉受累或阻塞(如胰腺癌)及下腔静脉阻塞等引起HPD的现象在临床实际工作中也经常遇到。还有,上腔静脉阻塞后血流通过胸廓内静脉、腹壁上静脉引流沿肝圆韧带进入脐周静脉及肝门静脉左支,引起肝左叶内侧段HPD。
033:内脏依靠征
右侧横隔破裂时,肝脏上1/3往往与右后肋相贴近,左侧破裂胃、肠甚至脾、肾可病入胸腔,胃、肠等往往与左后肋相贴,Birgin等131将此征象定义为“内脏依靠征”。病人CT检查时取仰卧位,如果横隔破裂,疝出的内脏(肠腔或肝脏等)不再受后方横隔支撑而下靠到后肋。基于此机制,非外伤性如先天性、炎性隔疝及食管癌术后的胸腔胃等也可出现此征象。有时右侧易漏诊,因肝脏疝出早期、程度轻时可暂时堵住裂孔不易发现,而且“内脏依靠征”有时也带有一定的主观性,有时CT诊断也较困难,带有一定的局限性。
034:岛嘴征
当扫描层面通过闭袢时可表现为两个扩张的肠环,随层面逐渐靠近闭袢根部,可见两个相邻肠环的距离逐渐接近,当闭袢与扫描层面平行时,则表现为一扩张的U形肠袢。当扫描层面通过闭袢的根部时,可见肠管的变形,肠扭转时则表现为三角形的软组织密度影。扫描层面通过闭袢的输入与输出端时,则表现为相邻的两个萎陷肠环。当肠扭转闭袢的输入或输出段肠管的长轴与CT扫描层面平行时,由于扭转使输入端逐渐变细,输出段由细变粗,在CT图像上表现为“鸟嘴征”。
肠扭转时表现为光滑的鸟嘴征,但当因梗阻处肠壁的水肿增厚和肠系膜的充血、水肿,就会表现为锯齿状的鸟嘴征。根据扩张肠袢的形态特征及扩张和萎陷肠管的移行区可以进行梗阻部位的判定。如果扩张肠袢的数量少,且多位于上腹部,梗阻部位则位于空肠,可见到扩张空肠的环形皱襞。如果多数扩张的回肠肠袢布满全腹,伴有较多的气液平面,结肠内无气体或仅有少量气体,但无扩张及液平,则梗阻部位在回肠远端。
结肠梗阻表现为梗阻近端扩张,并伴有气液平面,扩张的结肠可见结肠袋及半月皱襞。小肠多无扩张,或扩张的程度较轻。肠梗阻的病因复杂多样,如肠粘连、原发或继发性肿瘤、Crohn病、血管性病变、寄生虫、大胆石、粪块、腹部疝、慢性结肠憩室炎、肠套叠、肠扭转等。下图是一个典型乙状结肠扭转伴结肠梗阻病例,之所以典型,就是因为在近梗阻的部位,有典型的“鸟嘴征”:
035:三明治征(夹心面包征或夹心饼征)
指2个均质软组织肿物组成三明治面包,系膜脂肪和管状物为构成夹心,是腹部CT横断扫描时的影像表现。系膜脂肪和血管组成夹心,肿大淋巴结组成面包;在给予增强剂后系膜管状结构(血管、肠管)相对脂肪增强,夹心层突出。因为淋巴结增大会压迫血管,阻碍静脉回流,使夹心层内增强的血管更加明显。当经静脉及口服造影剂后,肠系膜血管结构较脂肪明显强化,从而可使夹心更加突出。导致肠系膜淋巴结肿大的病因很多。除淋巴瘤外,癌、肉瘤、类癌、获得性免疫缺陷相关性淋巴结增生综合征、结核、肠源性脂肪代谢碍及炎症性肠病等也是最常的病因。
癌、肉瘤及类痛均可起源于小肠,然后向肠系膜淋巴结扩散。这些肿瘤快速侵犯肠壁而导致穿孔、出血及弥漫性病变。感染性及炎性病变通常不会引起巨大的块状淋巴结肿大,它们所引起的淋巴结肿大,通常表现为中央坏死,周边可见环形强化,此点与结核相似。因此这些肿瘤,感染及炎性病变不会产生三明治征。
三明治征为肠系膜淋巴瘤的特异征象。因为只有在肠系膜淋巴瘤中淋巴结才可以长得很大,并包绕脂肪、肠管和血管而不产生任何临床症状。肠系膜淋巴瘤偶尔可侵犯浆膜及固有肌层,有时会引起小肠出血但极少引起游离性穿孔。肠系膜淋巴瘤还可以引起腹膜后淋巴结肿大。
绝大多数肠系膜淋巴瘤是非霍奇金淋巴瘤。过去在临床上通常难以确定非霍奇金淋巴瘤是否累及肠系膜。随着现代影像技术的发展及影像检查的普及.非霍奇金淋巴瘤累及肠系膜及其所表现的三明治征经常可以见到。
患者的免疫功能紊乱是非霍奇金淋巴瘤的危险因素。例如.AIDS患者易于并发非霍奇金淋巴瘤,这与AIDS相关性淋巴结增生综合征有本质的区别。随着实质器官移植及骨髓移植的增多,移植后淋巴组织增生性疾病有增多趋势。淋巴组织增生性疾病为EB病毒驱动的B细胞增殖性病变,在形态学上淋巴组织增生性疾病与侵袭性非霍奇金淋巴瘤难以区别,但由于发病机制及临床处置均不相同.因此,可将淋巴组织增生性疾病看作一种独立的淋巴增生性疾病。淋巴组织增生性疾病通常累及胃肠道.但不引起浅表结节样的改变。对于行器官移植的患者,如果断层影像显示夹心面包征,必须考虑到存在淋巴组织增生性疾病的可能性。
总之,三明治征指的是CT柏横断面上,巨大增生的肠系膜淋巴结包绕肠系膜脂肪和血管而形成的类似三明治的影像。对于设有移植病史的患者,非霍奇金淋巴瘤是三明治征的主要病因;有移植病史的患者,产生三明治征的原因则可能是淋巴组织增生性疾病,随着接受移植手术的患者不断增多,三明治征可能会在临床上越来越常见。下图是一个恶性肿瘤腹膜后淋巴结转移患者:
036:手风琴征:
手风琴征见于口服对比剂后腹部CT扫描,主要指大肠内由低密度的软组织影与高密度的对比剂相交互而形成手风琴样的表现。手风琴征中低密度的软组织影代表了由于肠壁水肿引起显著增厚的结肠皱襞,口服对比剂后到达结肠的少量的对比剂填充于增厚的结肠皱甓之间的裂隙内,这种低密度与高密度相间的条带状表现与手风琴非常相似。根据结肠水肿的程度不同以及对比剂在结肠皱襞的裂隙间沉积量的多少而表现有所不同。该征被认为是假膜性结肠炎(PMC)的特征性CT表现。
PMC的致病机制主要是结肠内难辨棱菌,或称艰难棱菌、顽固性梭状芽胞杆菌的过度生长,这是由于抗生素大量使用而引起肠道内正常菌群减少的一种反应,某些抗肿瘤药也可以产生同样的作用。难辨梭菌是革兰阳性厌氧菌,这些细菌所产生的毒素能够直接引起肠黏膜的损伤。其特征性的病理改变是在病变的结肠黏膜表面附着有不连续的、小的黄色斑块(假膜),少数情况下可累及小肠。假膜是由一层坏死的上皮细胞碎屑、纤维、多形核白细胞以及黏液共同组成。影像检查并不能直接分辨这些假膜斑块。随着疾病的进展,炎性水肿可逐渐累及黏膜固有层、黏膜下层.最终到达浆膜下,导致肠壁全层水肿增厚,这个病理改变可以在影像学上表现出来。普通X线检查能够发现一些非特异性的表现如结肠皱襞的增厚、结肠的扩张,腹腔积液等。CT检查越来越多地心用于那些没有特异性症状的、难以诊断的进展性PMC患者,其CT表现与普通X线相类似,包括肠壁的明显增厚、肠壁结节、手风琴征。肠壁增厚和结节的出现也可以见于其他的结肠炎,但主要是在PMC的患者身上有所体现,其肠壁增厚的程度和结节的出现才能够在CT上表现为手风琴征。研究认为,进展期PMC患者CT检查发现手风琴征的阳性率占51%—67%.有学者认为它是PMC的特征性表现。
PMC的确诊依靠粪便的毒素检查阳性和结肠内镜下对可见假膜斑块的检出。当然需要我们已经预料到了该病的可能性。不然则不会在早期进行这些检查。而且粪便毒素检测需要两天才能出结果,结肠镜检也可能出现假阴性或特异性的结果。所以影像学检查或许是较早发现该病的检查手段。PMC可以治愈,但如果治疗不及时则可能危及生命。因此及时诊断并予以治疗意义重大。
037:梳齿征
腹盆腔C扫描时,于回肠的系膜侧可见多个直管状,扭曲的阴影排列成梳齿状。供应小肠的动脉由肠系膜上下动脉发出,于肠系膜内形成一系列相互吻合呈弓状的小肠动脉支。其终末分支(直小动脉)在空肠比较长且相巨间距离较大,而在回肠则比较短相对距离较近。
因此,当回肠系膜内的直小动脉增多、扭曲、扩张,相互间距离增大时,在CT增强扫描时表现为梳齿状,称为梳齿征。这是由于发生炎症性肠病时,受累肠管的血流增多,相应的肠系膜呈纤维脂肪增殖所致,多见克罗恩病。克罗恩病是累及肠壁全层的慢性内芽肿性炎症性疾患,消化道全程均可发病,但以末端回肠及近端结肠最为多见。
最早期的镜下发现为扩大的淋巴滤泡以及鹅口癌样小溃疡,溃疡常常在双对比钡剂造影时能够见到,而CT扫描由于空间分辨率较低的原因常常难以分辨。克罗恩病最常见的CT表现为肠壁增厚,有超过82%的病人可以见到,通常增厚达5~10mm,甚至20mm。增厚的肠壁多见于末端同肠,也可见于消化道的其他部分。
在急性期,受累的肠壁呈分层表现,CT上呈靶样或双晕状表现,这可能是由于黏膜下水肿或肠壁脂肪浸润所致.肠壁增厚并不是克罗恩病特有的表现,事实上,非活动性溃疡性结肠炎的患者占60%以上,而仅有8%患者有克罗恩病。
此外也可见于放射性肠病、移植物抗宿主病及肠比慢性缺血。发炎的黏膜和浆膜层可在CT增强扫描时强化.强化程度和疾病的临床活动性有关。病程较长的患者,肠壁纤维化,分层现象消失,CT扫描时受累肠壁密度均匀。在克隆氏病中肠系膜经常受累。克罗恩病常常累及肠系膜而致纤维脂肪样增殖,也称为肠系膜脂肪蔓延,这是导致小肠检查中出现肠襻分离的主要原因。小场和肠系膜之间的脂肪界面消失,由于发生炎症改变使脂肪密度升高20~60Hu。肠系膜的纤维脂肪浸润仅是形成梳齿征的部分原因,此外更主要的原因是血管从所在肠管的浆膜面分离,在CT扫描时血管直立突出并彼此分离而形成梳齿状。
同时在CT上还可以见到淋巴结肿大,通常大小为3~8mm,如果淋巴结肿大10mm,则要排除发生淋巴瘤(或癌),因为这两种病在克罗恩病患者中的发生率要高于普通人群。
在已知患有克罗恩病的患者中,如果出现了上述的由肠系膜血管增生,扭曲、扩张,以及因直小血管的突出而形成的梳齿征时,表明疾病有急性恶化的趋势,有文献报道克罗恩病患者肠周血管显著提示疾病活动、进展或广泛蔓延。第一次出现临床症状的患者进行CT检查发现上述表现时,可以提出克罗恩病诊断的可能性,但并不是绝对特异性的征象,因为在狼疮性肠系膜血管炎中也可以出现类似的梳齿征。
有文献报道系统性红斑狼疮出现急性腹痛时,在CT检查发现缺血性肠病的患者中梳齿征的出现率为87%。还有一些其他的疾病在发展过程中可以出现血管扩张,比如血管病(包括结节性多动脉炎,Henoch-Schonlein综合征、显微镜下多血管病,贝赫切特综合征等)、肠系膜血栓拴塞、绞窄性肠梗阻,溃疡性结肠炎等。临床病史、疾病的分布以及其他相关检查对疾病的鉴别诊断有一定帮助。梳齿征的出现对于鉴别淋巴瘤以及转移瘤有较大帮助,因为这两种病通常为少血供的。
有大约28%的克罗恩病患者在CT检查中还能够发现并发症,这对疾病的治疗有很大帮助。主要的并发症有脓肿、瘘管、窦道、肛周疾病等,这些都能在CT扫描中很好地显示。此外对克罗恩病的患者,在CT扫描时还应仔细检查疾病可能出现的其他全身性表理,包括肝脏脂肪浸润、肾结石、胆结石、骶髂关节炎、肾积水等。
038:漩涡征
在CT扫描时,多个条带状影围绕一个中心结构呈旋涡状排列,形成一软组织团块影。该征象高度提示小肠扭转时输入和输出肠管围绕一固定梗阻点旋转,并导致肠系膜绕轴旋转,是肠扭转的特异性征象,该征象包括肠管"漩涡征”及肠系膜血管“旋涡征”两个方面。当扭转小肠的输入襻和输出襻围绕着固定的梗阻点旋转时,肠系膜也随之沿旋转轴扭曲并紧密缠绕在肠襻之间,这些扭曲的肠襻和肠系膜血管分支形成了旋涡征中软组织密度的飘带状影,其背景是由肠系膜脂肪形成的低密度,由此形成了类似于气象图上旋风图样的外观,称为漩涡征。
当CT扫描与小肠的扭转轴相垂直时,漩涡征更清楚。肠扭转是一段肠袢沿其系膜长轴旋转而造成的闭袢型肠梗阻,同时肠系膜血管受压,也是绞窄性肠梗阻。常常是因为肠袢及其系膜过长,系膜根部附着处过窄或粘连收缩靠拢等解剖上的因素,并因肠内容重量骤增,肠管动力异常,以及突然改变体位等诱发因素而引起。肠扭转部分在其系膜根部,以顺时针方向旋转为多见,扭转程度轻者在360度以下,严重的可达2—3转。
常见的肠扭转有部分小肠、全部小肠和乙状结肠扭转。
表现为突然发作剧烈腹部绞痛.多在脐周围,常为持续性疼痛阵发性加重;腹痛常牵涉腰背部,病人往往不敢平仰卧,喜取胸膝位或蜷曲侧卧位;呕吐频繁,腹胀不显著或者某一部位特别明显,可以没有高亢的肠鸣音。腹部有时可扪及压痛的扩张肠袢;病程稍晚,即易发生休克。
另外,还可见空肠和回肠换位,或排列成多种形态的小跨度蜷曲肠袢等特有的征象。乙状结肠扭转:多见于男性老年人,常有便秘习惯,或以往有多次腹痛发作经排便、排气后缓解的病史:临床表现除腹部绞痛外。有明显腹胀.有明显腹胀.而呕吐一般不明显。肠扭转时相应的肠系膜血管发生旋转,在CT图像中出现旋涡状改变通常称为“漩涡征”,表现形式有以下三种:肠管漩涡、肠系膜漩涡及以肠系膜血管为主的漩涡。
因大部分病例肠系膜及系膜血管走行较复杂多不在一个平面上显示,因此肠系膜血管漩涡征以增强轴位CT观察较好。肠扭转后供给肠管血供的肠系膜血管发生扭曲,肠道血供障碍,肠管缺血缺氧而坏死形成绞窄性肠梗阻。
因此,必须尽快准确判断患者的病情以选择哪些适合非手术治疗,哪些需要尽快手术探查。CT在判断肠梗阻患者中的作用,其敏感性达到83%,特异性为93%,准确率为91%。小肠扭转虽然少见,但却是威胁生命的外科急症。
根据小肠扭转的原因可以分为2种类型,一种是原发性小肠扭转,此型没有引起扭转的斛剖学异常,属特发性;另一种为继发性小肠扭转,此型患者多因先天或后天性肠管解剖异常而导致肠扭转。
继发性肠扭转最常见的原因是术后粘连,粘连处的小肠被固定在一个点形成一个桩导致腹内疝。发生肠粘连时为防止发生肠坏死必必须认真进行检查、评估,以确定是否需要于术解陈粘连。
急腹症中的肠扭转、肠粘连、内抓疝等在很多情况下肠系膜及其血管同时发生旋转,并在CT图中显示,只要出现旋涡状改变,都可称之为漩涡征。漩涡征表现可有以下形式:肠管漩涡,肠管漩涡必有水肿系膜伴随,才能将肠管显示,多为静脉,可分为主干或分盘,前者常是扩张的肠系膜r静脉(SMV)围绕肠系膜上动脉(SMA)旋转后者系膜静脉分支构成漩涡状。
Fisher所描述的CT上出现的漩涡征一个肠扭转的病例,该例涡轮的中心是肠系膜上动脉,涡轮样的外观是由环绕的扭曲肠襻所形成。
Fishe提出漩涡征以后的文章中,许多作者描述了肠扭转的不同形式。
Shaff等将漩涡征的定义延伸到乙状结肠扭转,此处漩涡征中的涡轮是由输入襻和输出襻所形成,中心部分由麻花状扭曲的肠管和肠系膜所构成,其指出涡轮的紧密度与肠扭转的程度成正比。
Frank等提出漩涡征也可出现在自肠扭转,此处涡轮的构成包含了扭曲的肠系膜,塌陷的盲肠以及末端回肠襻。扩张的肠段在漩涡征出现处突然中止,高度提示肠扭转,且多为急性发生或者提示液体流入或分泌减少。李文华等指出,漩涡征出现的位置有可能提供引起漩涡的病因。上腹部出现漩涡征,肠管又固定于定位置者,要考虑是否并发于内疝,如小网膜囊内疝、十二指肠旁疝等,应注意识别其解剖关系;中腹部出现漩涡征,多为单纯小肠扭转,而下腹部出现漩涡征,可能与乙状结肠扭转有关。
CT上漩涡征的出现能够提示肠扭转的发生,但是如果扫描平面与扭转轴不相垂直的话,漩涡征可能显示得不明显,其他有关小肠扭转的CT征象也有文献描述,比如扩张肠襻的放射状分布或U形结构,或者在扭转处肠管的纵切面形成的三角状或逐渐变细,上述这些CT征象在小肠闭襻性肠梗阻也可以观察到,依照闭塞段的长度、肠管扩张的程度、闭襻的位置方向以及CT扫描时切面的相对位置不同,显示也有所差异。
Blake和Melson报道部分手术如结肠部分切除术后患者,出现漩漏征并不具有特异性。尽管这些下术可能使肠管及肠最膜旋转述180度,但极少出现360度或更大角度旋转形成的漩转形成的漩涡征,因此在这些术后患者中出现漩涡征时,肠扭转仍然是一个排除性诊断。总之.漩涡征的出现高度提示小肠扭转.但需要注意排除闭襻性肠梗阻。
039:脂肪环征
肠系膜脂膜炎的CT表现。肠系膜脂肪组织密度增高(-40--60H。),呈边界清楚、密度不均匀的单个或多个软组织密度肿块,肿块围绕系膜大血管但不累及血管,肠系膜血管周围可有脂肪存在,形成脂肪环征。
肠系膜脂膜炎以慢性毙比细胞浸润,脂肪坏死和纤维组织形成“假肿瘤结节”为特征,包绕但不侵犯肠系膜血管,肠系膜曲静脉血管位于病变内,邻近血管脂肪密度正常,形成脂肪环征。
肠系膜脂膜炎名称较多:有回缩性系膜炎、肠系膜脂肪营养不良以及肠系膜脂膜炎等。不同的命名强调疾病中占优势的组织学特点,缩窄性肠系膜炎以肠系膜纤维化为主,肠系膜脂肪营养不良以肠系膜脂肪坏死为主,肠系膜脂膜炎以肠系膜慢性炎症为主。
缩窄性肠系膜炎是病因不明的特发性疾病。多数学者认为,本病与腔部手术、外伤、感染(除外胰腺炎)、溃疡和局部缺血等所引起肠系膜损伤后非特异性反应有关。有研究者根据儿病理变化推测术病为自身免疫性疾病。也有研究报道奉病还与多种良恶性疾病,如淋巴瘤、卵巢癌、结肠癌、肺癌、乳腺癌、肝细胞癌、特性腹膜后纤维化、多发性软骨炎、系统性红斑狼疮、WeberChristian病及Gardner综合征等有关。
本病临床上较少见,可发生于任何年龄,最常见于50~60岁,病变主要发生于小肠系膜根部,偶见于大肠系膜。症状轻重不一,缺乏特异性,患者可有不同程度腹痛,不发热或低中度发热,恶心、呕吐、乏力、消瘦,有时腹泻及便血,偶见急性腹膜炎,肠梗阻表现。部分患者无症状。体征主要为腹部触及深在的、位置固定的、边界不清的肿块,有压痛。
CT是诊断肠系膜脂膜炎的有效方法。典型CT表现为与腹膜后脂肪密度相比肠系膜脂肪组织密度增高(-40~-60Hu).呈边界清楚、密度不均匀的单个或多个软组织密度肿块,其内可见脂肪密度和低密度囊变区。肿块围绕系膜大血管但不累及血管,肠襻向四周移位。部分表现为肠系膜根部围绕肠系膜血管以脂肪成分为主的肿块,内有散存放射状、条索样、结节样软组织密度区。有时表现为有包膜的密度不均匀肿块,内有脂肪、水样或软组织密度区。少数表现为多房囊性肿块(由于淋巴管和血管阻塞引起的淋巴管扩张)。国内外文献报道缩窄性肠系膜炎有如下特征性表现:①脂肪环征,肠系膜血管周围可有脂肪存在,形成脂肪环征,其出现率为85%~88.8%;②假包膜征,肿块周阿有条带状软组织密度影环绕,病理上为纤维组织,其厚度一般为3mm,小超过iOmm,出现率为50%--66.6%,③软组织结节,为肠系膜淋巴结散在分布于肿块中,多数5mm,80%的患者有此征象;④增强前后无明显密度改变,而其内肿大淋巴结可出现增强,可能与淋巴结的炎性改变有关。
MRI表现虽无特异性,但显示脂肪、软组织成分和血管受累优于CT,是诊断肠系膜脂膜炎存价值的影像学检查方法,主要表现在两方面①显示小同组织的信号特点,如以纤维组织为主的肿物,T2WT呈低信号;②显示主要血管(SMA、SMV)及其分支是否受累,血管正常表现为流空效应。
总之,肠系膜脂膜炎是种临床上较少见、病因不明的特发性、非肿瘤性、瘤样肠系膜炎性疾病。其影像表现有一定的特征性,脂肪环征对本病的诊断具有重要价值。